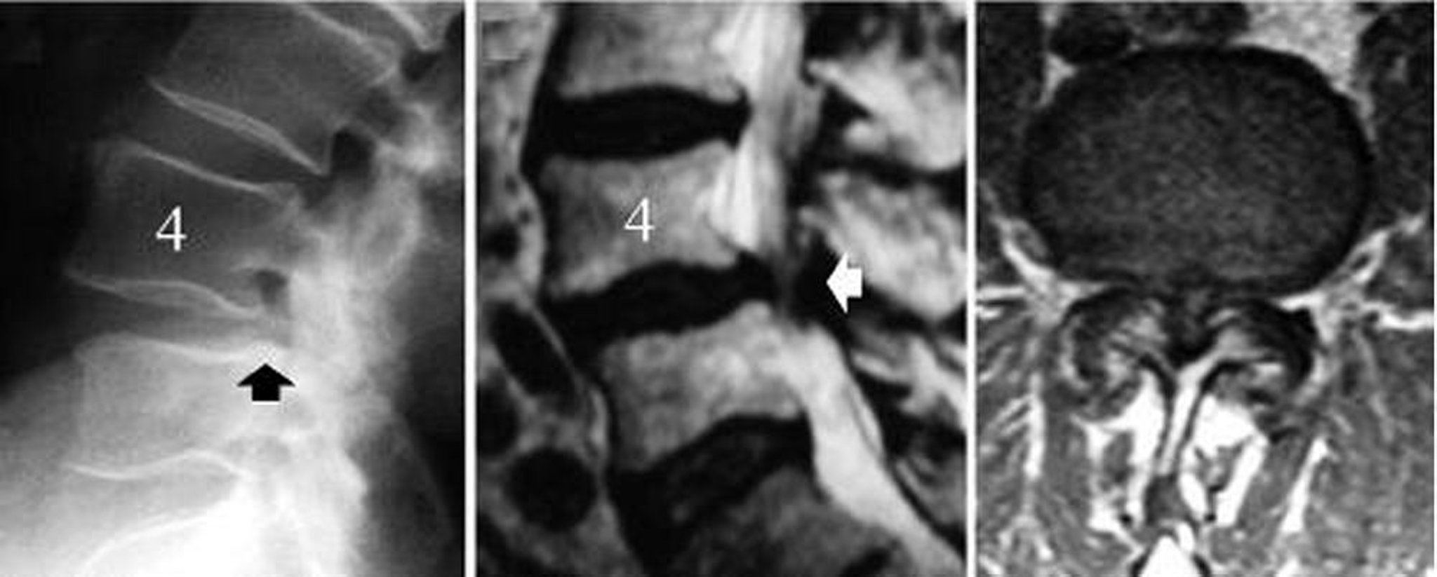
Люмбальный спинальный стеноз, вызванный дегенеративным спондилолистезом позвонка L4-L5
Изображение слева –рентгенограмма в боковой проекции поясничного отдела позвоночника, показывает соскальзывание позвонка L4 (черная стрелка – задняя граница тела позвонка L5 не совпадает с задней границей L4). Изображение в центре является среднесагиттальной МР-томограммой, показывающей компрессию нервных структур (белая стрелка). Изображение справа представляет собой аксиальную МРТ скан, показывающий выраженный стеноз спинномозгового канала на уровне дегенеративного спондилолистеза - L4-5 (белая стрелка).
© Springer Science+Business Media
По этим темам
