Предоставлено Вамmsd logo
This site is not intended for use in the Russian Federation
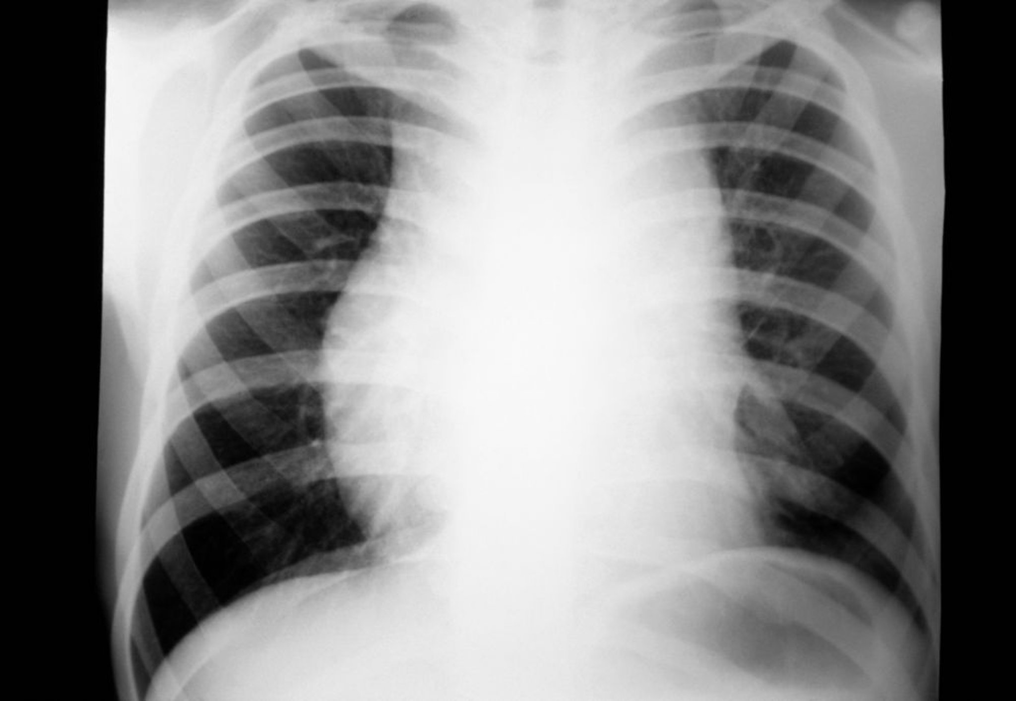
Лимфома Ходжкина (медиастинальная лимфаденопатия)

Лимфома Ходжкина (медиастинальная лимфаденопатия)

На рентгене грудной клетки пациента с лимфомой Ходжкина видна медиастинальная лимфаденопатия.

DR P. MARAZZI/SCIENCE PHOTO LIBRARY

По этим темам