Лимфома кости
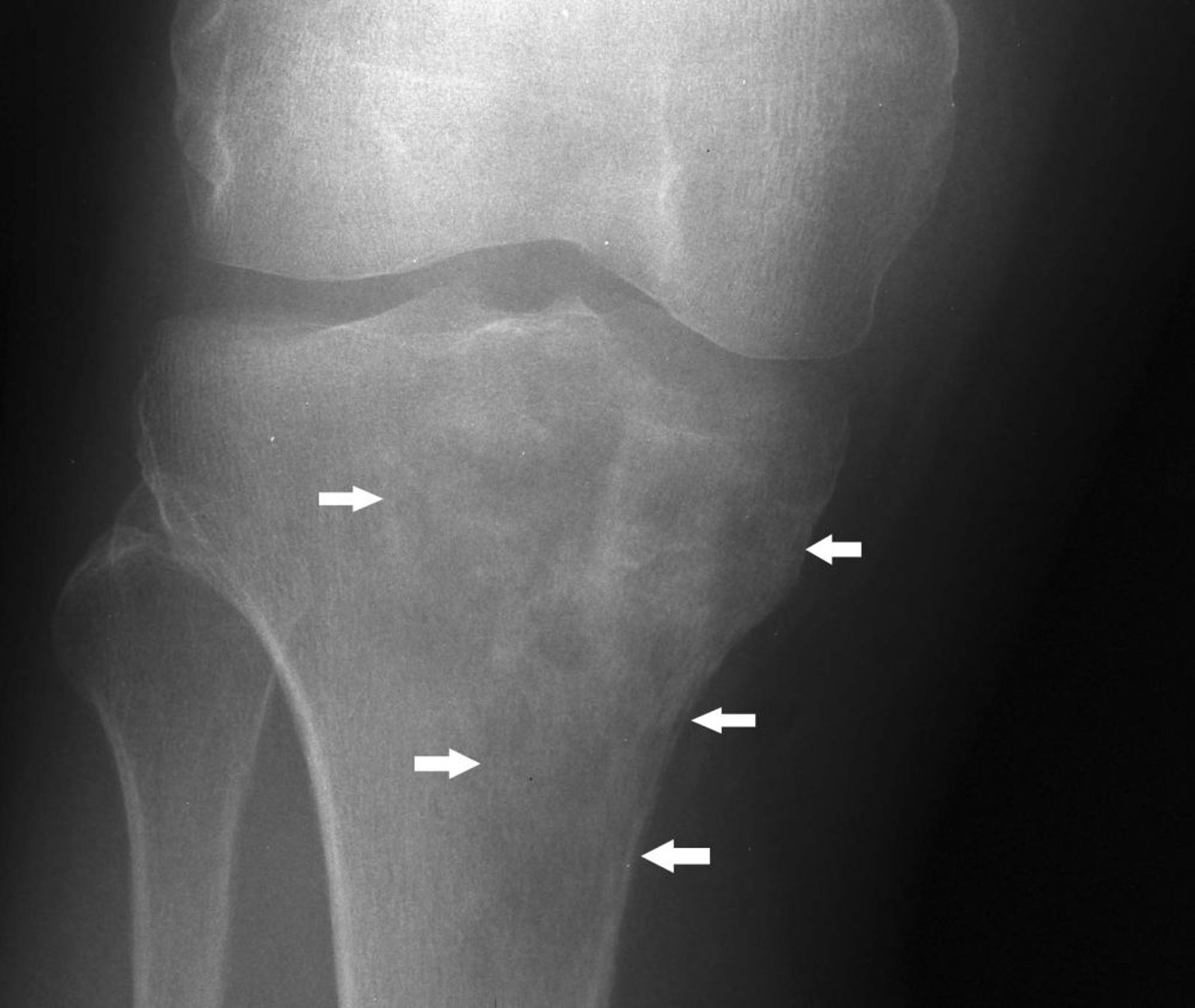
На данном рентгеновском снимке колена показана лимфома в проксимальной части большеберцовой кости со смешанным литическим и склеротическим проявлением ниже медиального мыщелка большеберцовой кости (стрелки).
Image courtesy of Michael J. Joyce, MD, and Hakan Ilaslan, MD.
По этим темам
