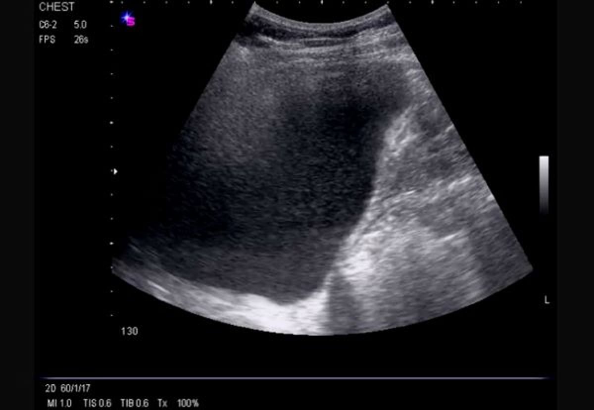
Латеральное УЗИ грудной клетки (справа)
На этом УЗИ виден масивный ничем не ограниченный выпот справа, вызывающий инверсию половины диафрагмы и демонстрирующий эхогенность.
Image courtesy of Najib M. Rahman, BMBCh MA (oxon) DPhil.
По этим темам
На этом УЗИ виден масивный ничем не ограниченный выпот справа, вызывающий инверсию половины диафрагмы и демонстрирующий эхогенность.
Image courtesy of Najib M. Rahman, BMBCh MA (oxon) DPhil.