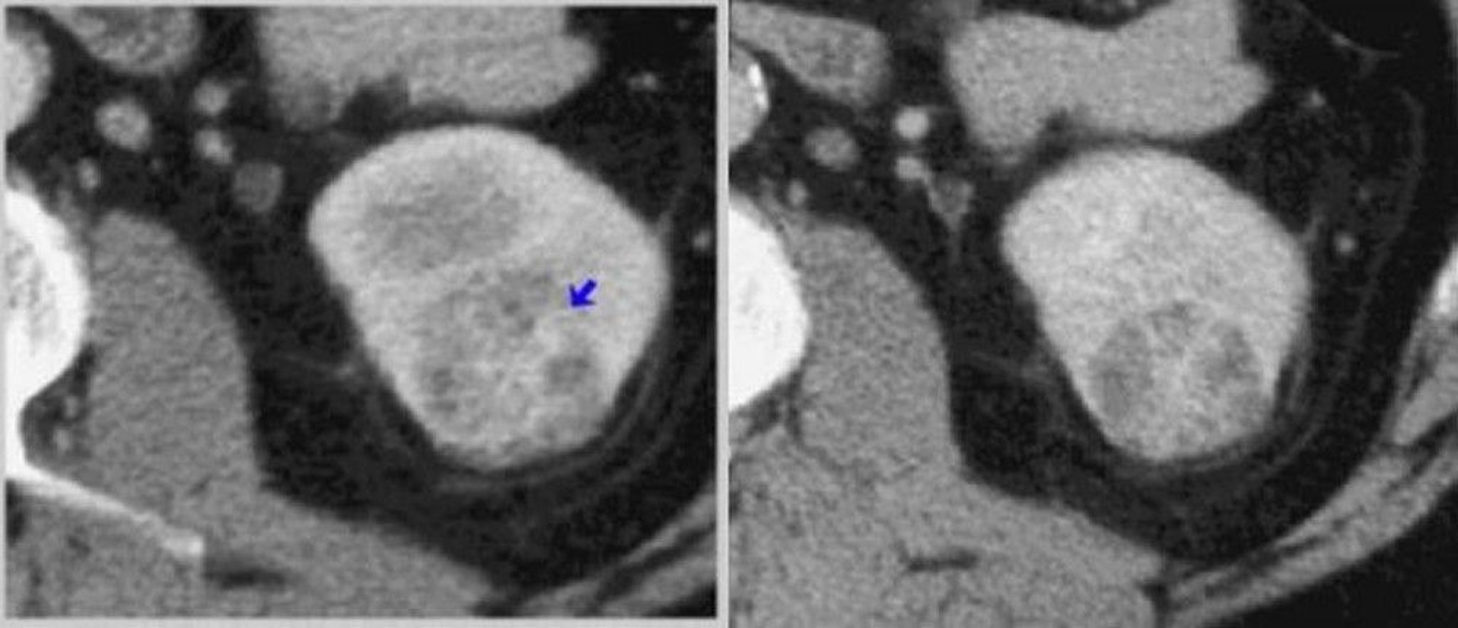
КТ-скан почки с контрастным усилением (кортикомедуллярная и нефрогенная фазы)
Слева на КТ-скане кортикомедуллярной фазы показана опухоль с гетерогенным усилением (стрелка). Справа – КТ-скан нефрографической фазы, которая позволяет лучше определить опухоль.
© Springer Science+Business Media
По этим темам
