Предоставлено Вамmsd logo
This site is not intended for use in the Russian Federation
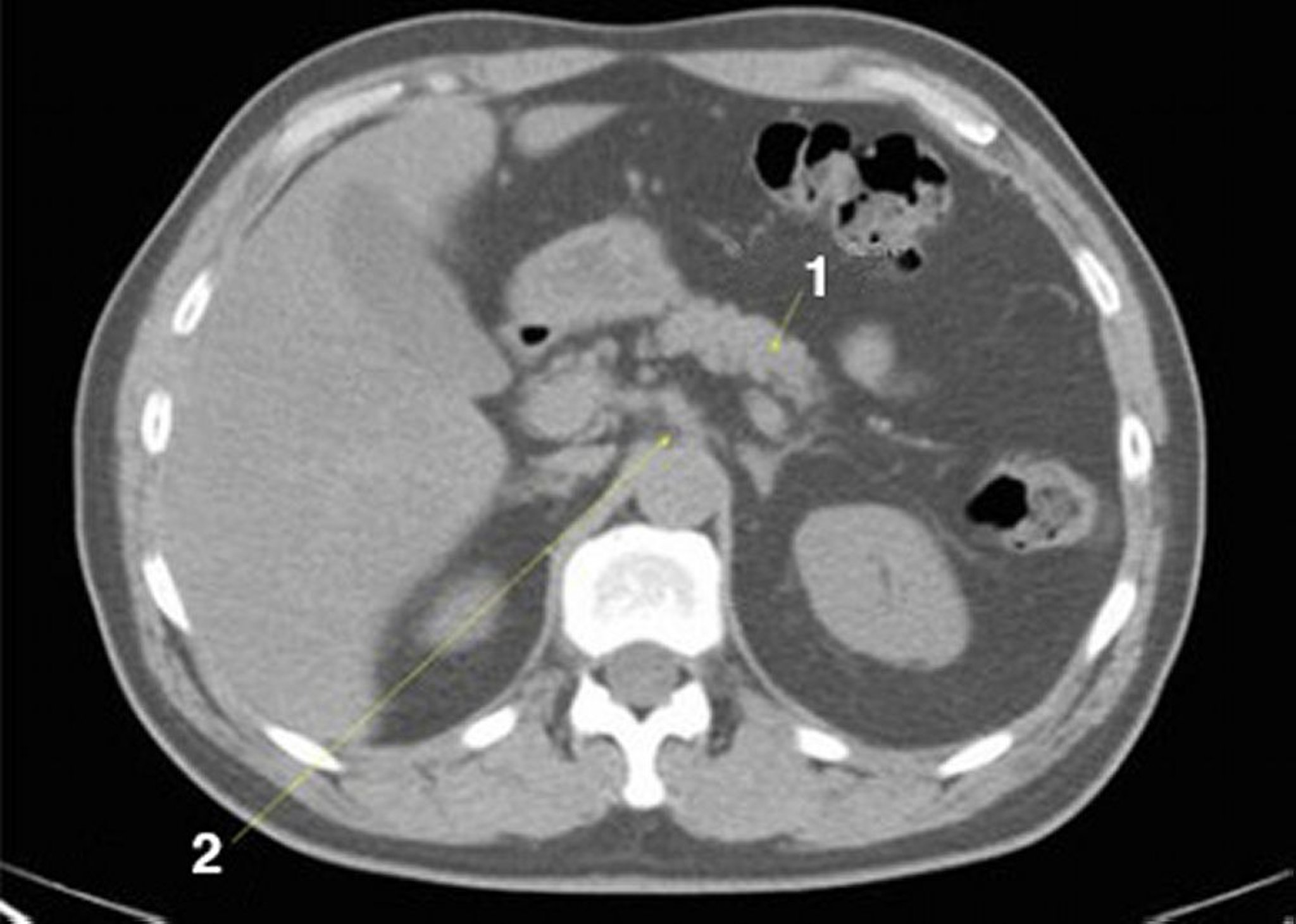
КТ брюшной полости и таза без контраста, демонстрирующая нормальную анатомию (слайд 9)

КТ брюшной полости и таза без контраста, демонстрирующая нормальную анатомию (слайд 9)

1 = поджелудочная железа; 2 = чревный артериальный ствол.

© Springer Science+Business Media