Предоставлено Вамmsd logo
This site is not intended for use in the Russian Federation
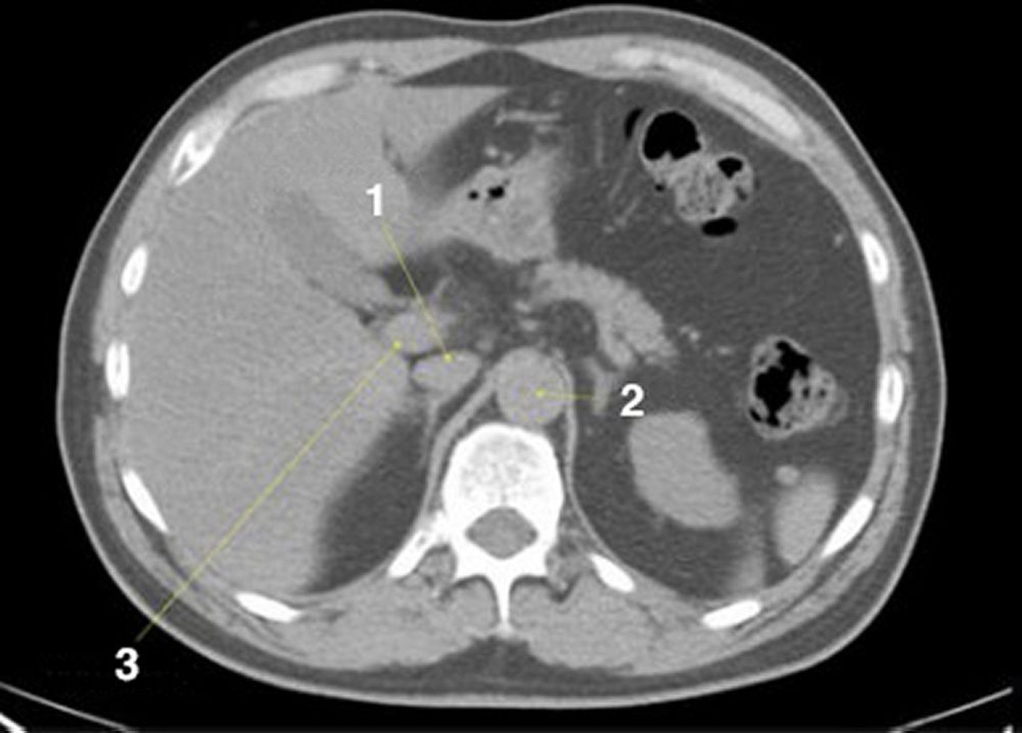
КТ брюшной полости и таза без контраста, демонстрирующая нормальную анатомию (слайд 6)

КТ брюшной полости и таза без контраста, демонстрирующая нормальную анатомию (слайд 6)

1 = нижняя полая вена; 2 = аорта; 3 = портальная вена.

© Springer Science+Business Media