Предоставлено Вамmsd logo
This site is not intended for use in the Russian Federation
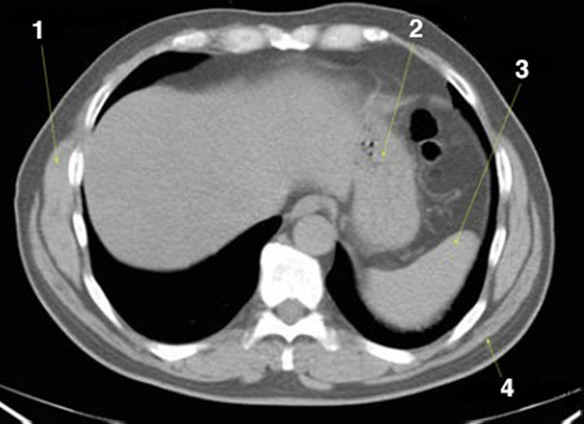
КТ брюшной полости и таза без контраста, демонстрирующая нормальную анатомию (слайд 2)

КТ брюшной полости и таза без контраста, демонстрирующая нормальную анатомию (слайд 2)

1 = передняя зубчатая мышца; 2 = желудок; 3 = селезенка; 4 = широчайшая мышца спины.

© Springer Science+Business Media