honeypot link
Предоставлено Вам
This site is not intended for use in the Russian Federation
skip to main content
Профессиональная
Пользователь или пациент
Справочник Msd
Профессиональная версия
РАЗДЕЛЫ МЕДИЦИНЫ
ИСТОЧНИКИ
КОММЕНТАРИИ
ОПРОСЫ
О НАС
РАЗДЕЛЫ МЕДИЦИНЫ
<
Изображения
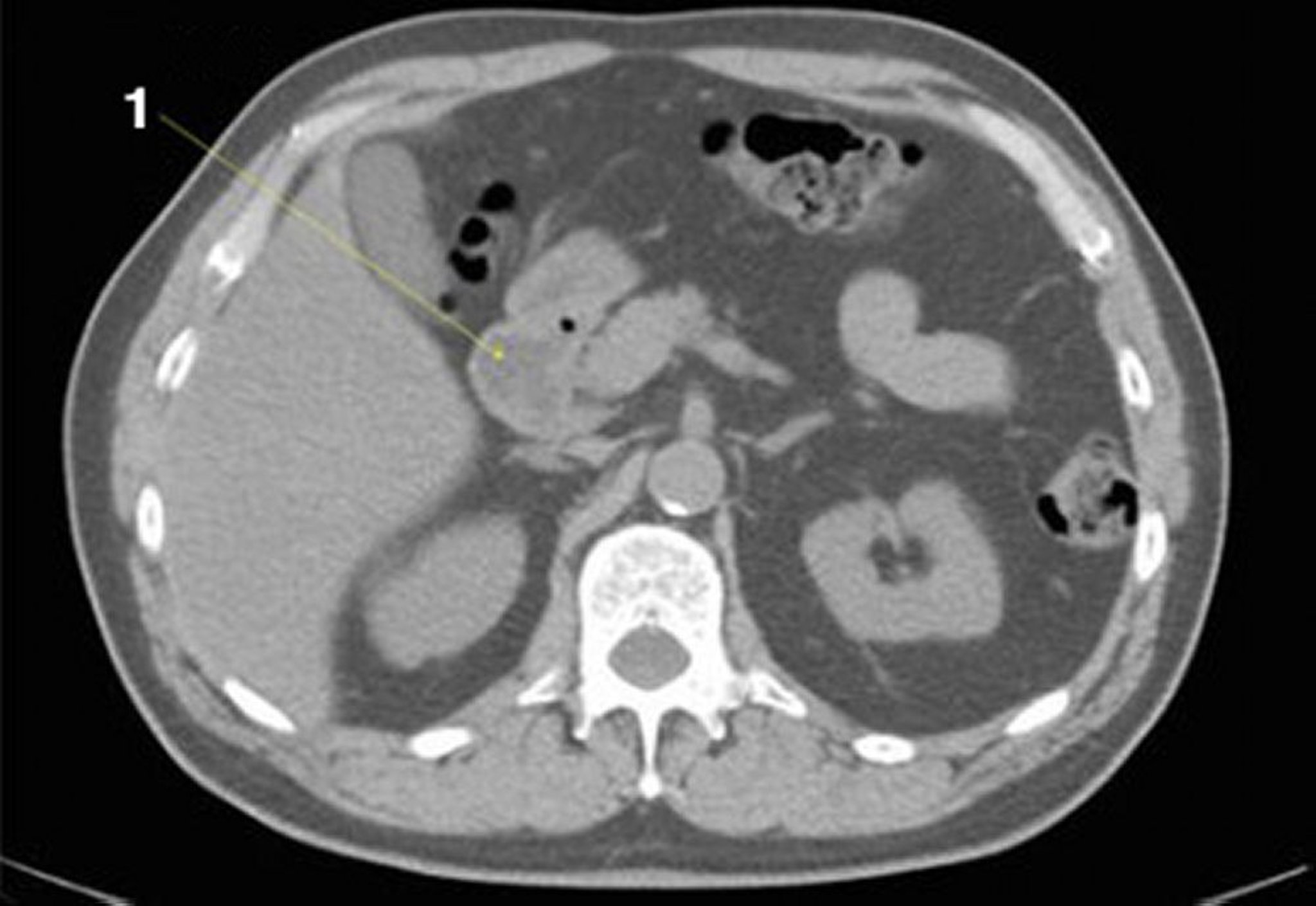
КТ брюшной полости и таза без контраста, демонстрирующая нормальную анатомию (слайд 11)
1 = двенадцатиперстная кишка.
© Springer Science+Business Media
По этим темам
Обследование пациентов с гастроэнтерологическими заболеваниями
>