Предоставлено Вамmsd logo
This site is not intended for use in the Russian Federation
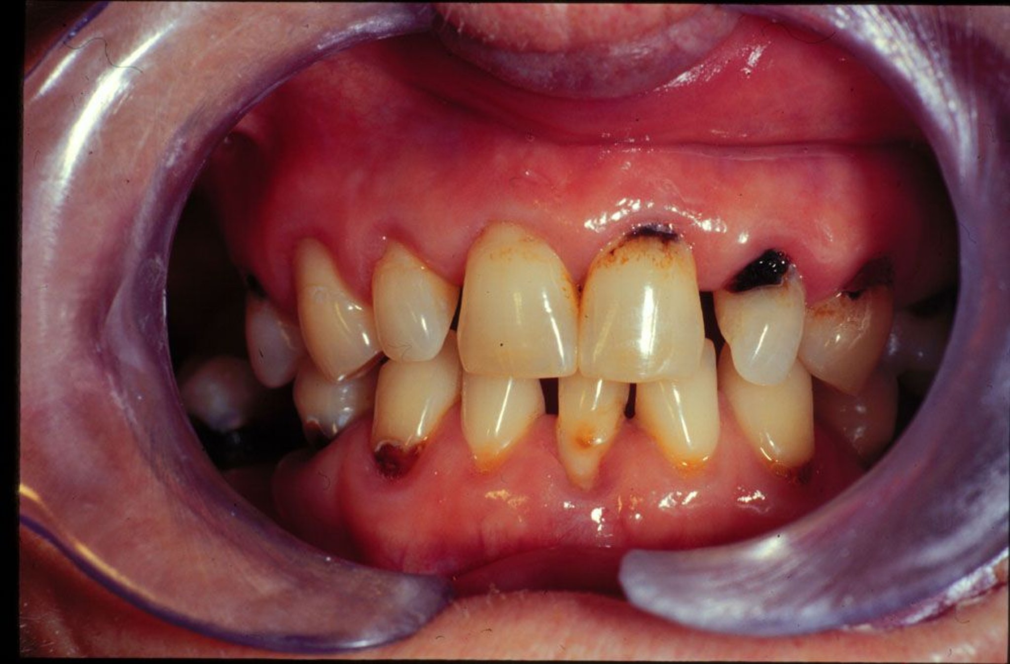
Кариес (при осмотре)

Кариес (при осмотре)

Вновь возникший и рецидивирующий кариес у пациента с сухостью во рту.

Image provided by Jonathan A. Ship, DMD.

По этим темам