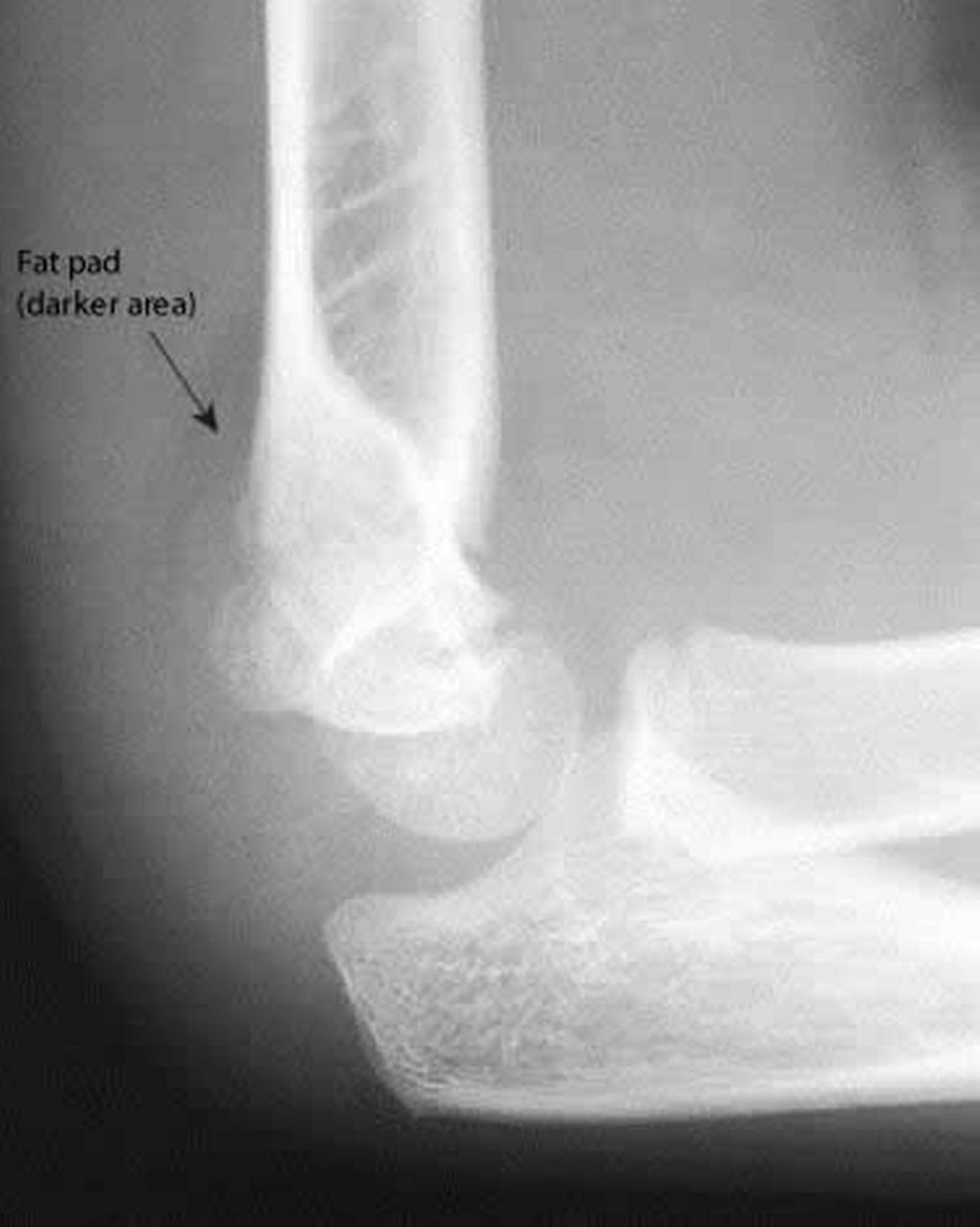
Задняя жировая подушка
Задняя жировая подушка всегда свидетельствует о патологии. Также на этой рентгенограмме передняя плечевая линия не проходит через середину головчатого возвышения плечевой кости.
Image courtesy of Danielle Campagne, MD.
По этим темам
