Глиобластома
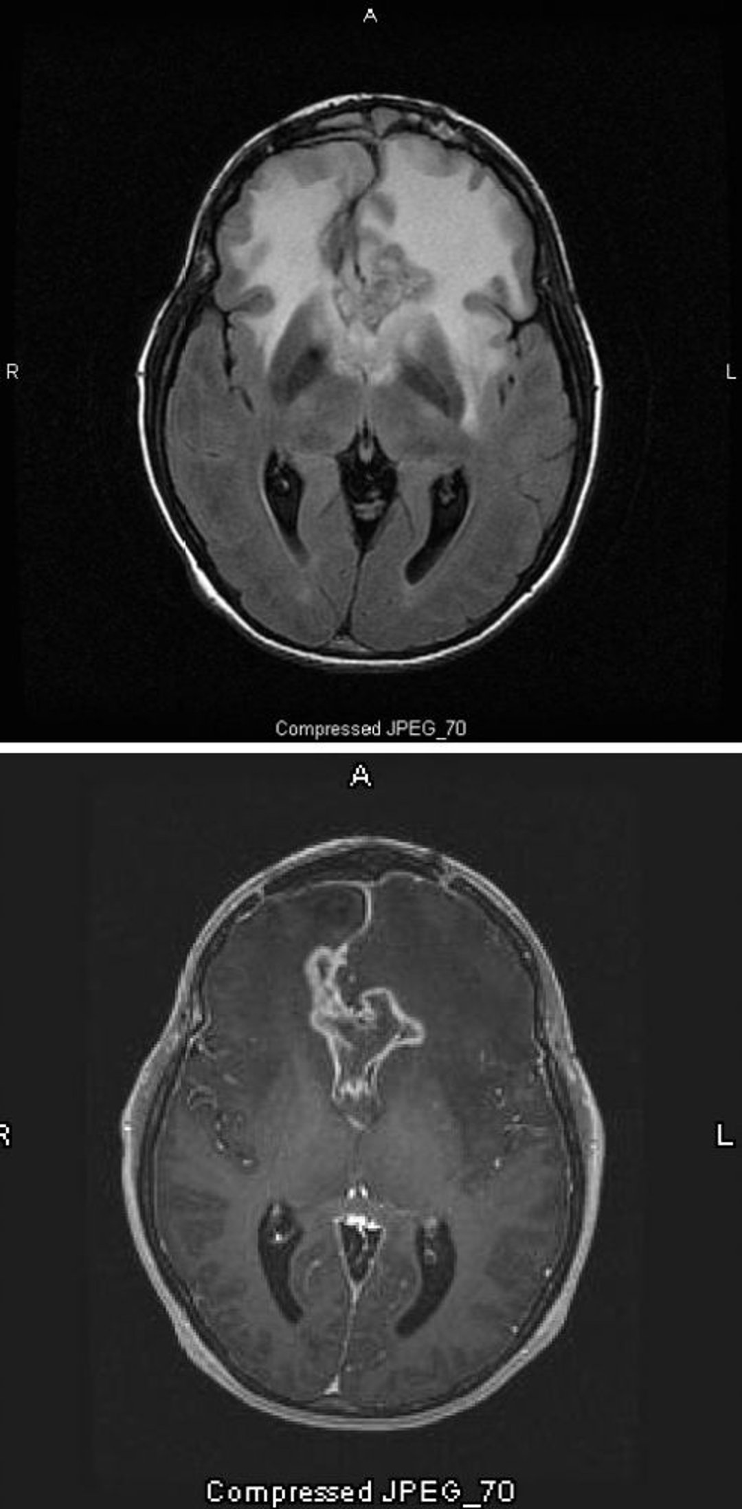
Снимок T2-FLAIR МРТ (вверху) показывает большой двусторонний сигнал белого цвета (с повышенной плотностью) вокруг глиобластомы, которая является самой злокачественной и наиболее злокачественной астроцитомой. Эта специфическая глиобластома называется "глиомой бабочки", поскольку распространяется по полушариям, формируя крылья бабочки; это вызвано отеком мозга. На T1-взвешенном изображении (внизу) контраст очерчивает край опухоли (усиление окружности). Отек проявляется в виде затемненного участка (гипоинтенсивность) на T1.
Images courtesy of William R. Shapiro, MD.
По этим темам
