Гингивит
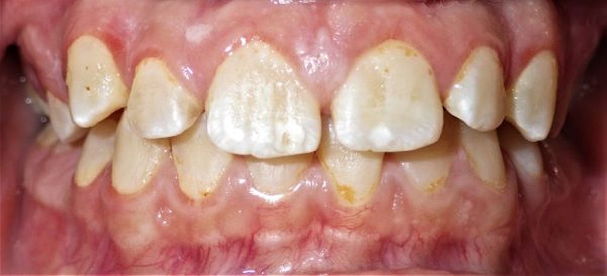
На этом изображении гингивита у молодого человека показано воспаление маргинальной десны (ближайшей к зубам), с отеком межзубных сосочков и воспалением вдоль верхних клыков.
Image courtesy of James T. Ubertalli, DMD.
По этим темам
На этом изображении гингивита у молодого человека показано воспаление маргинальной десны (ближайшей к зубам), с отеком межзубных сосочков и воспалением вдоль верхних клыков.
Image courtesy of James T. Ubertalli, DMD.