Восходящий отдел аорты у пациента с артериитом Такаясу
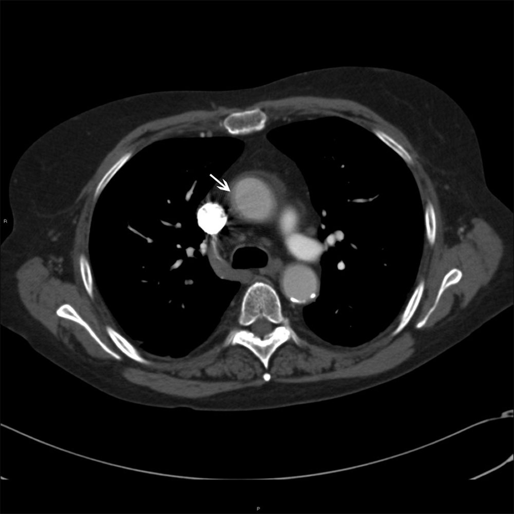
На этой фотографии показано утолщение стенки (белая стрелка) восходящей аорты у пациента с артериитом Такаясу.
© 2017 Elliot K. Fishman, MD.
По этим темам
На этой фотографии показано утолщение стенки (белая стрелка) восходящей аорты у пациента с артериитом Такаясу.
© 2017 Elliot K. Fishman, MD.