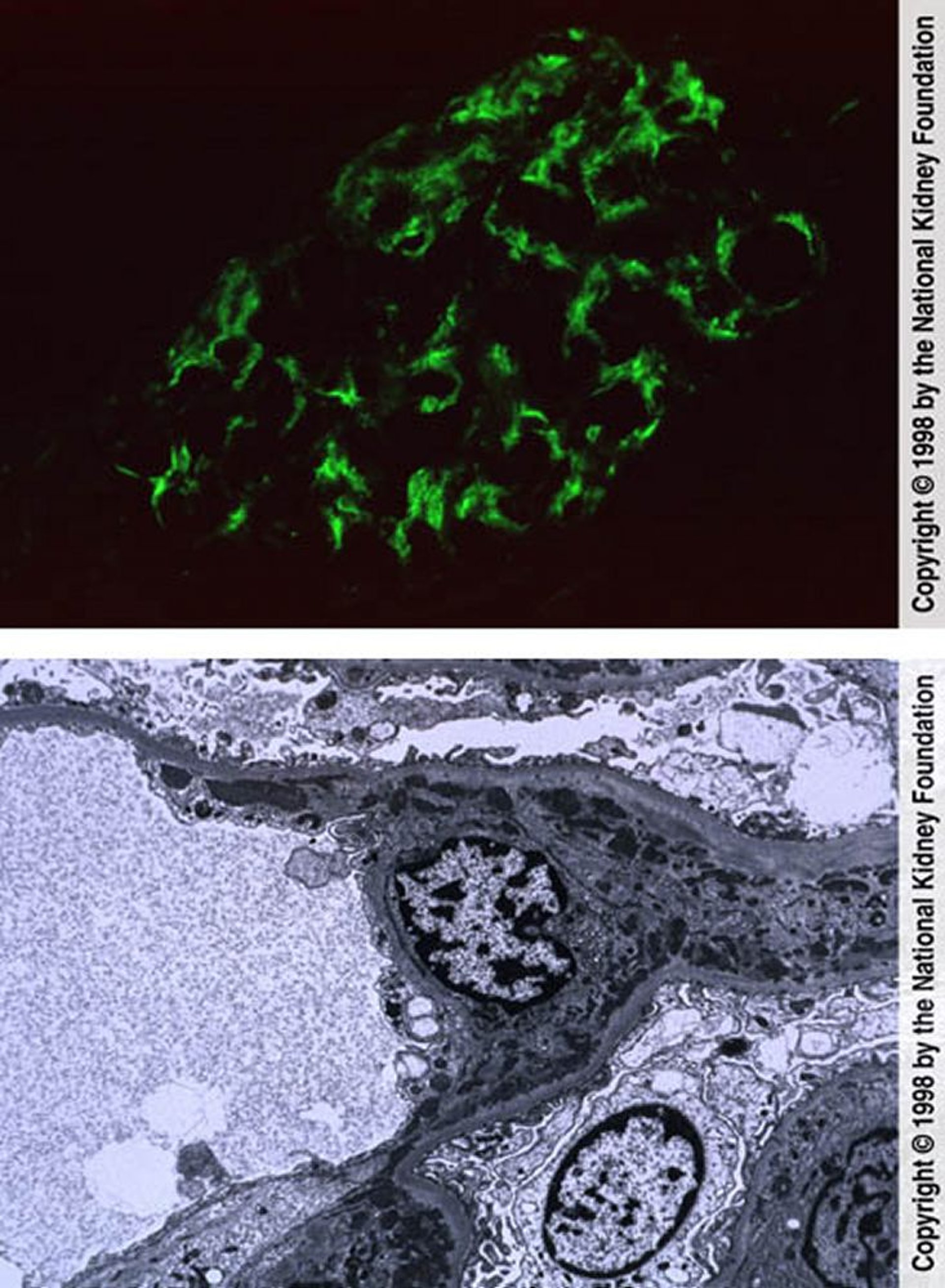
Волчаночный нефрит –мезангиальная пролиферативная форма (класс II)
Верхнее изображение показывает мезангиальное отложение IgM (иммунофлюоресценция с анти-IgM, исходное увеличение ×400). На нижнем изображении при помощи просвечивающей электронной микроскопии (×8000) видны мезангиальные плотные отложения иммунных комплексов и ретикулярные агрегаты в цитоплазме эндотелиальных клеток.
Image provided by Agnes Fogo, MD, and the American Journal of Kidney Diseases' Atlas of Renal Pathology (see www.ajkd.org).
По этим темам
