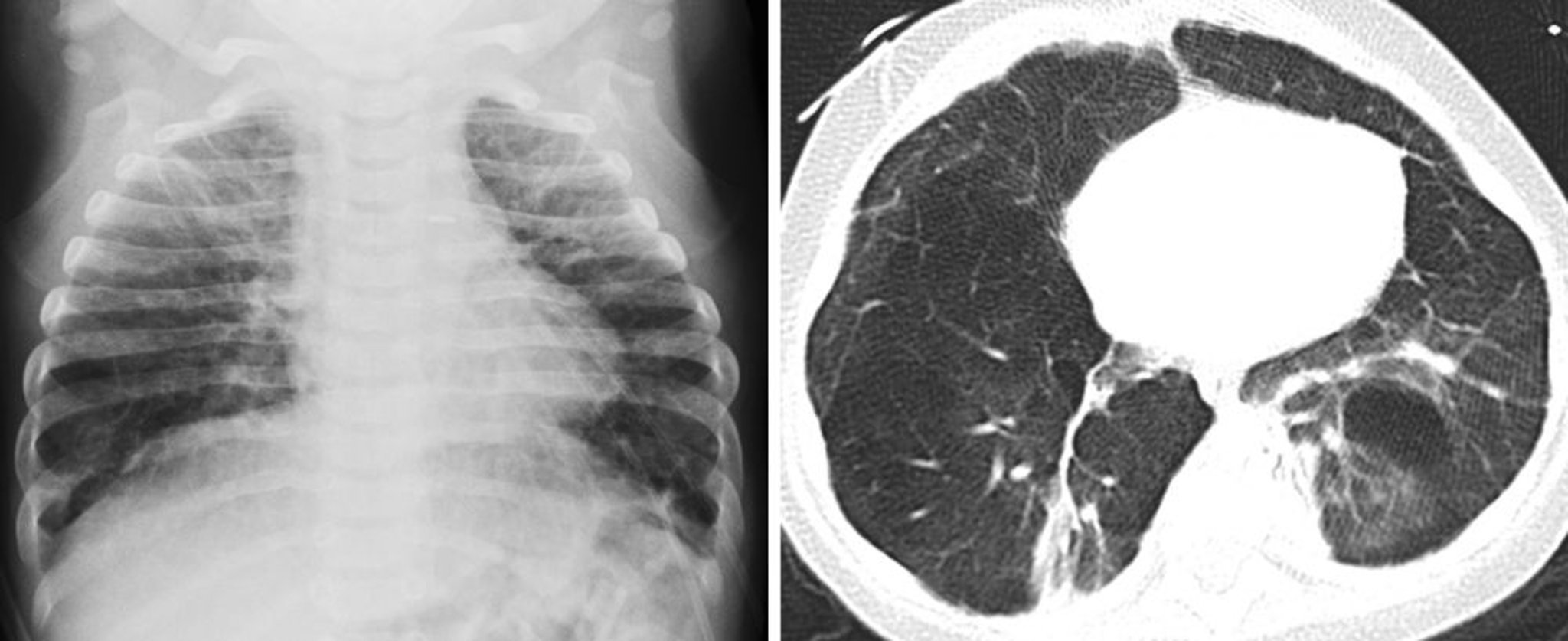
Бронхолегочная дисплазия (рентгенография и КТ)
Младенец на этих изображениях имеет в анамнезе недоношенность и бронхолегочную дисплазию. На рентгенографии грудной клетки слева показано грубое ретикулярное легочное затемнение и гиперинфляция обоих легких. На КТ-изображении справа визуализируются грубое ретикулярное затемнение легочной ткани и нарушение воздушности легкого, вызванные лежащими в основе альвеолярным перегородочным фиброзом и повышением воздушности паренхимы легкого.
© Springer Science+Business Media
По этим темам
