Атеросклеротические бляшки на нисходящей части дуги аорты
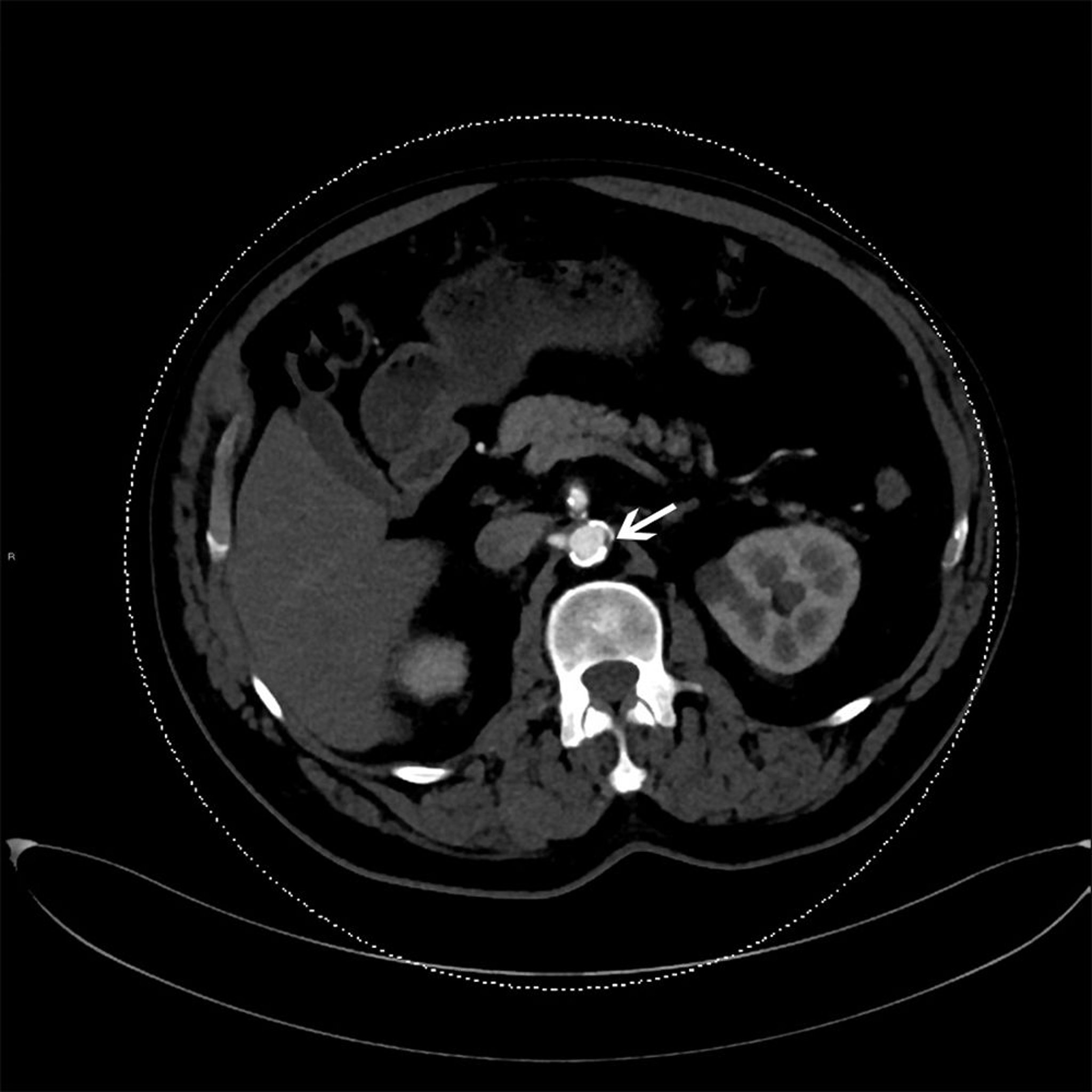
На снимке КТ с контрастным усилением показана атеросклеротическая бляшка в нисходящей части аорты (указана стрелкой).
© Springer Science+Business Media
По этим темам
На снимке КТ с контрастным усилением показана атеросклеротическая бляшка в нисходящей части аорты (указана стрелкой).
© Springer Science+Business Media