Аневризма брюшного отдела аорты (УЗИ)
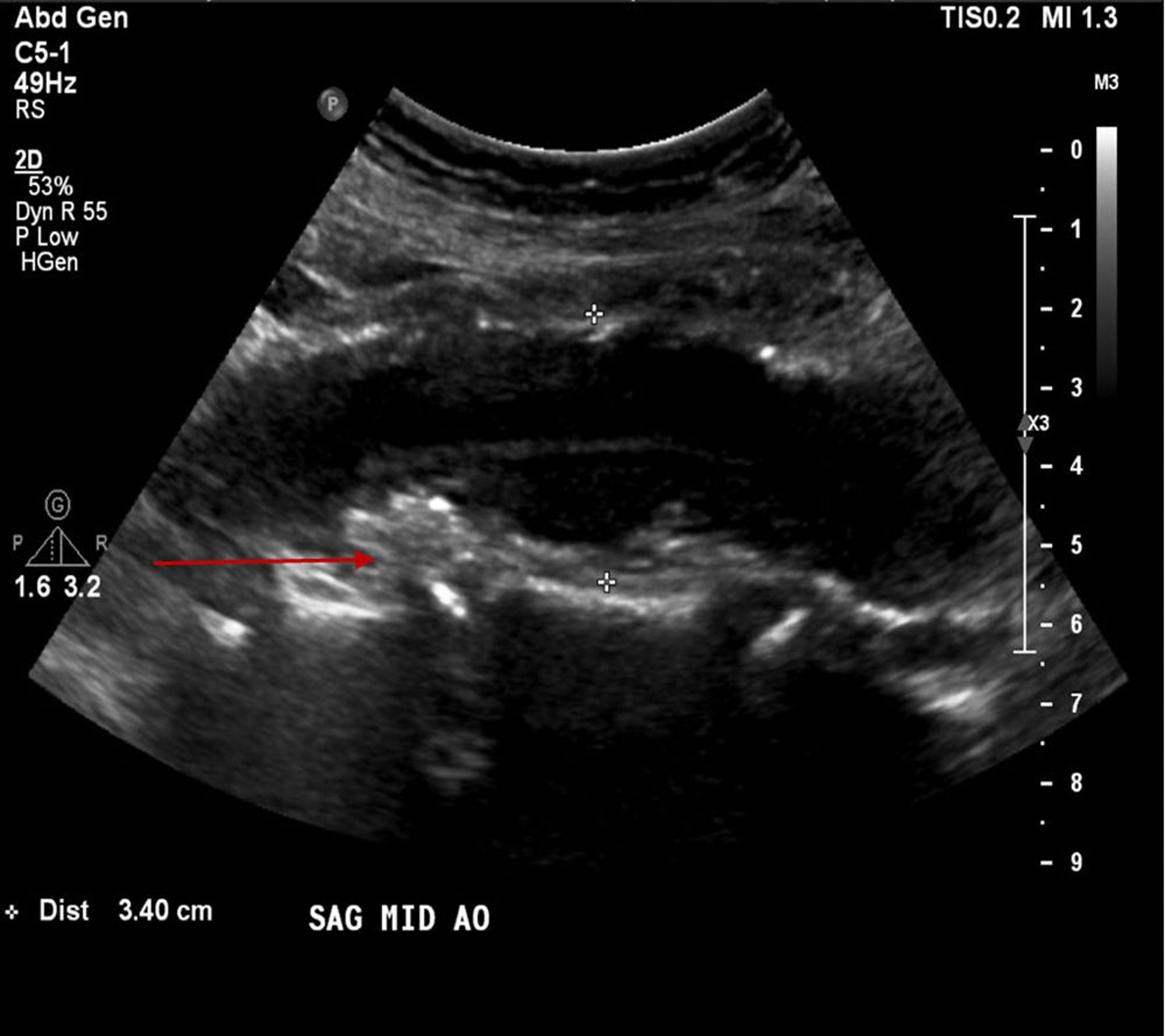
Этот пациент имеет аневризму брюшной аорты размером 3,4 см (между белыми крестами), наблюдаются также атеросклеротическая бляшка или пристеночный тромб (красная стрелка).
© 2017 Elliot K. Fishman, MD.
По этим темам
