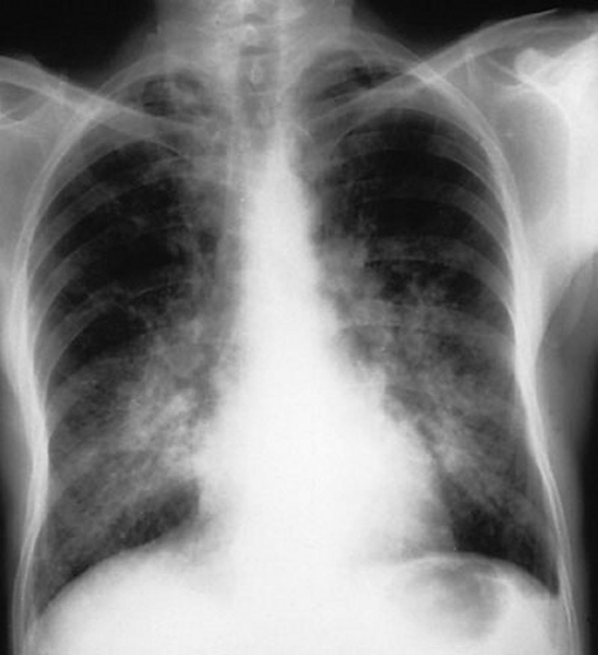
Альвеолярное кровотечение (синдром Гудпасчера)
Двусторонние альвеолярные затемнения у пациента с альвеолярным кровоизлиянием вследствие синдрома Гудпасчера.
By permission of the publisher. From Cohen A, Glassock R. In Atlas of Diseases of the Kidney: Glomerulonephritis and Vasculitis. Edited by R Schrier (series editor), RJ Glassock, and AH Cohen. Philadelphia, Current Medicine, 1999.
