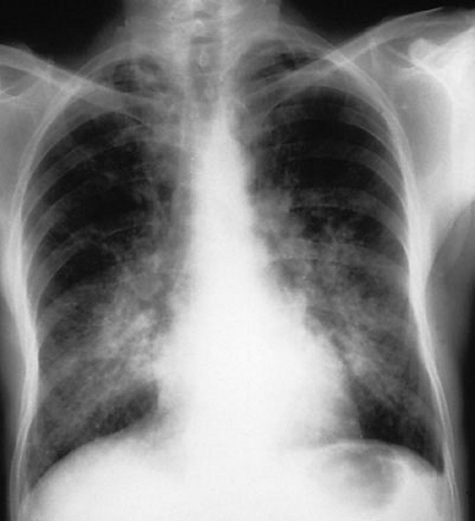
Альвеолярное кровотечение
Эта рентгенография грудной клетки показывает двустороннее затемнение в области альвеол у пациента с альвеолярным кровотечением.
By permission of the publisher. From Cohen A, Glassock R. In Atlas of Diseases of the Kidney: Glomerulonephritis and Vasculitis. Edited by R Schrier (series editor), RJ Glassock, and AH Cohen. Philadelphia, Current Medicine, 1999.
