Предоставлено Вамmsd logo
This site is not intended for use in the Russian Federation
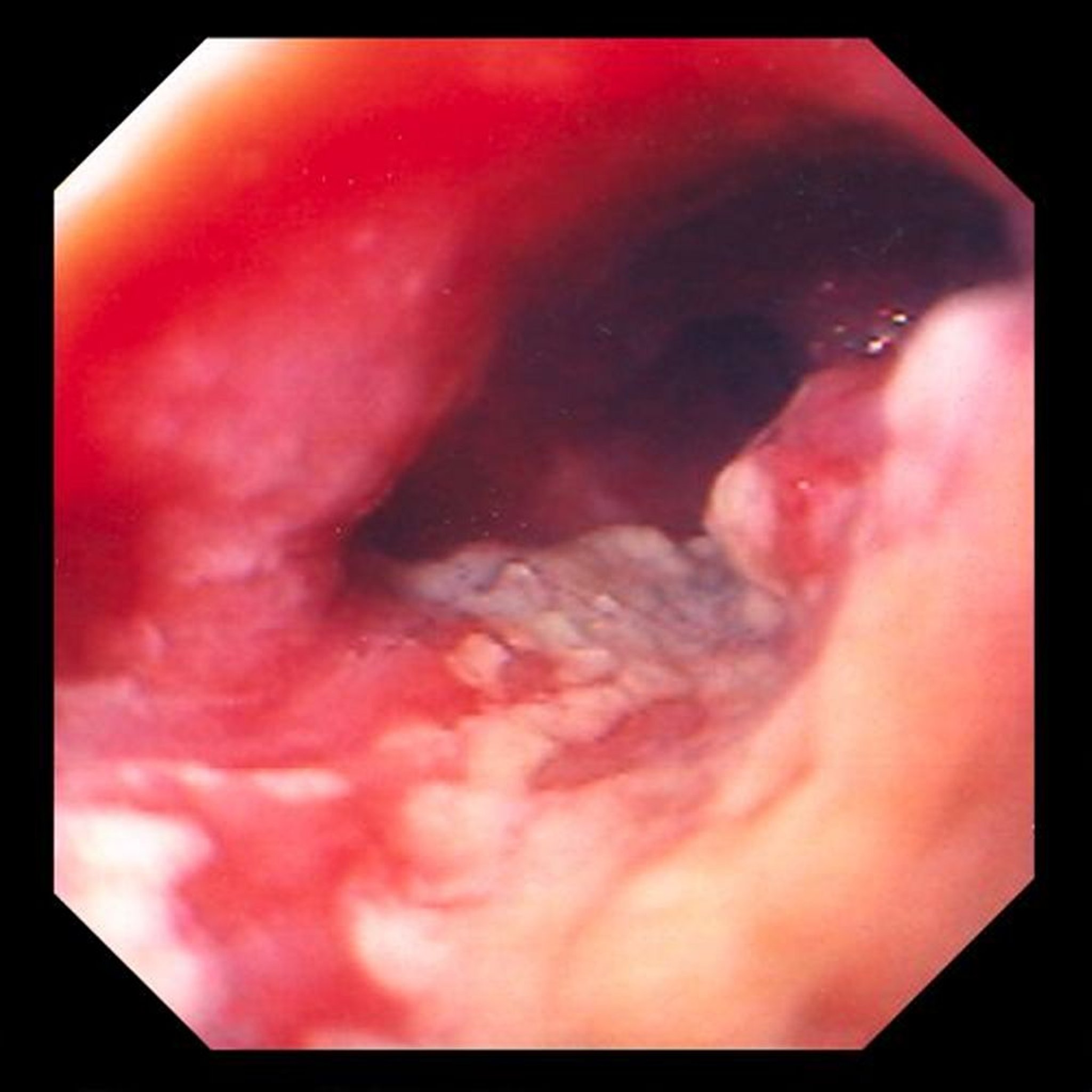
Аденокарцинома пищевода

Аденокарцинома пищевода

Это изображение показывает язвенную сдавливающую опухоль, расположенную в дистальном отделе пищевода, что наводит на мысль об аденокарциноме, возникающей в результате метапластических призматических изменений (пищевода Барретта).

Image provided by David M. Martin, MD.

По этим темам