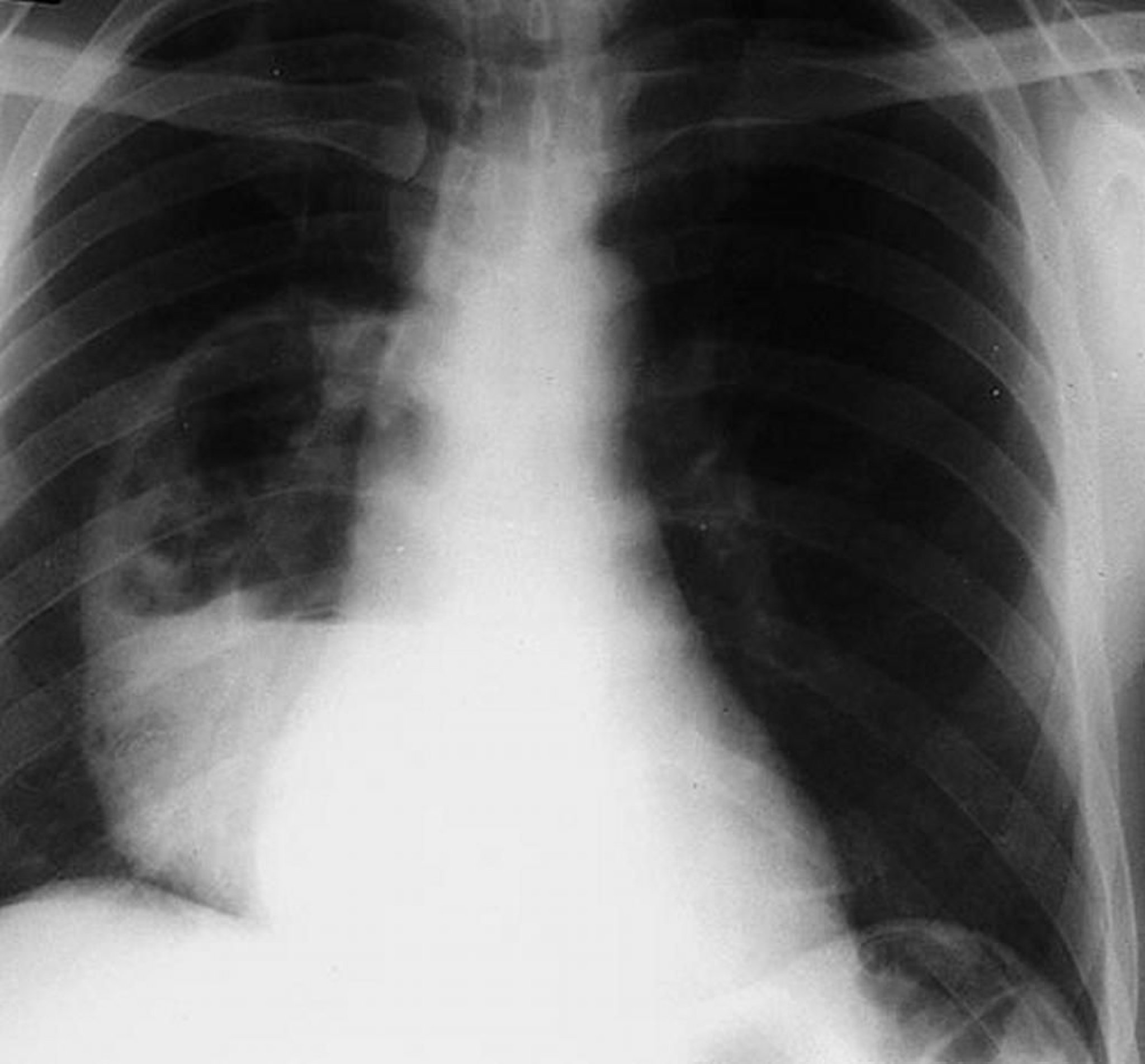
Абсцесс легкого (рентгенограмма)
На этом снимке представлен большой абсцесс правой нижней доли, демонстрирующий полость с уровнем жидкости и газа. Белые стрелки указывают на границу абсцесса, обозначая стенки, отделённые от паренхимы лёгкого. Чёрные стрелки обозначают уровень, на котором встречаются воздух сверху и жидкость снизу.
By permission of the publisher. Из Leaf H. In Atlas of Infectious Diseases: Pleuropulmonary and Bronchial Infections. Edited by GL Mandell (series editor) and MS Simberkoff. Philadelphia, Current Medicine, 1996.
По этим темам
