Медуллярная губчатая почка – это образование диффузных двусторонних кист, вызванных аномалиями строения околочашечковых терминальных собирательных протоков.
(См. также Обзор кистозной болезни почек (Overview of Cystic Kidney Disease)).
Причина медуллярной губчатой почки остаётся неизвестной, а степень генетической пенетрантности варьируется (1, 2).
В большинстве случаев имеет место бессимптомное течение и заболевание не диагностируется. Данная болезнь предрасполагает к образованию конкрементов (часто с повышенной экскрецией кальция с мочой) и развитию инфекции мочевыводящих путей (ИМП), поэтому наиболее частыми симптомами являются следующие:
Медуллярная губчатая почка – это доброкачественное заболевание с хорошим долгосрочным прогнозом. Обструкция камнями почек может вызвать временное снижение скорости клубочковой фильтрации (СКФ) и повышение уровня креатинина сыворотки крови.
References
1. Klemme L, Fish AJ, Rich S, Greenberg B, Senske B, Segall M. Familial ureteral abnormalities syndrome: genomic mapping, clinical findings. Pediatr Nephrol. 1998 Jun;12(5):349-56. doi: 10.1007/s004670050465. PMID: 9686951.
2. Goldman SH, Walker SR, Merigan TC Jr, Gardner KD Jr, Bull JM. Hereditary occurrence of cystic disease of the renal medulla. N Engl J Med. 1966 May 5;274(18):984-92. doi: 10.1056/NEJM196605052741802. PMID: 5909742.
Диагностика медуллярной губчатой почки
КТ или внутривенная урография (ВВУ)
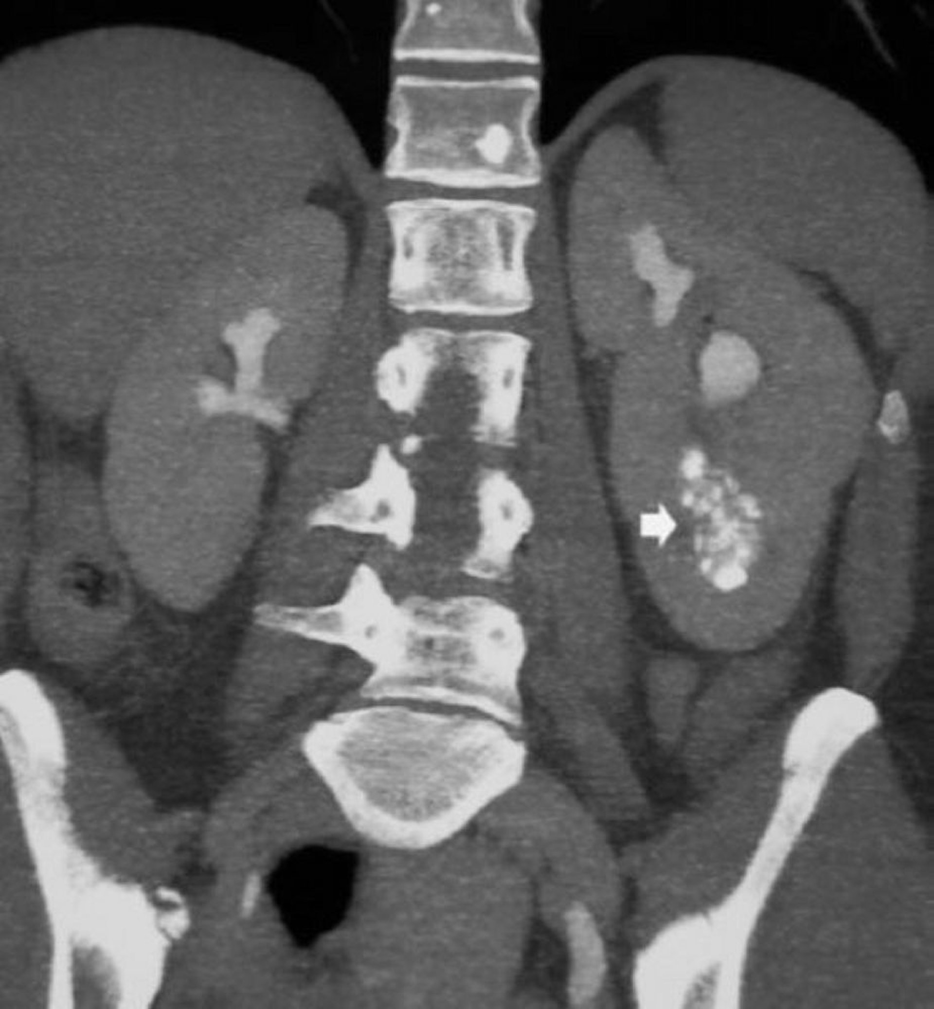
Диагноз следует подозревать у пациентов с рецидивирующим образованием камней или инфекциями мочевыводящих путей, или же на основании случайных данных рентгеновского исследования, таких как медуллярный нефрокальциноз и дилатация собирательных протоков при их контрастировании. Анализ мочи, как правило, подтверждает наличие дистального почечно-канальцевого ацидоза (манифестный метаболический ацидоз встречается редко) и снижение концентрационной способности почек у пациентов без явной полиурии.
© Springer Science+Business Media
Диагноз обычно подтверждается с помощью КТ, но можно проводить внутивенную урографию. Ультразвуковое исследование (УЗИ) не является информативным, так как кисты мелкие и находятся глубоко в мозговом слое почки.
Лечение медуллярной губчатой почки
Контроль за осложнениями (например, инфекции мочевыводящих путей, камни в почках)
Лечение показано только при ИМП и рецидивирующем образовании камней. Снизить риск образования камней за счет снижения экскреции кальция с мочой и предупреждения мочевого стаза могут тиазидные диуретики (например, гидрохлортиазид 25 мг перорально 1 раз/день), терапия цитратом калия (30 мЭкв перорально 1 раз/день) и обильное питье (1). Пациентов также следует поощрять к соблюдению диеты с низким содержанием натрия, нормальным содержанием кальция и белка. Эти приемы могут уменьшить частоту обструктивных осложнений у пациентов с рецидивирующим образованием камней.
Справочные материалы по лечению
1. Cicerello E, Ciaccia M, Cova G, Mangano M. The impact of potassium citrate therapy in the natural course of Medullary Sponge Kidney with associated nephrolithiasis. Arch Ital Urol Androl. 2019;91(2):10.4081/aiua.2019.2.102. Published 2019 Jul 2. doi:10.4081/aiua.2019.2.102
