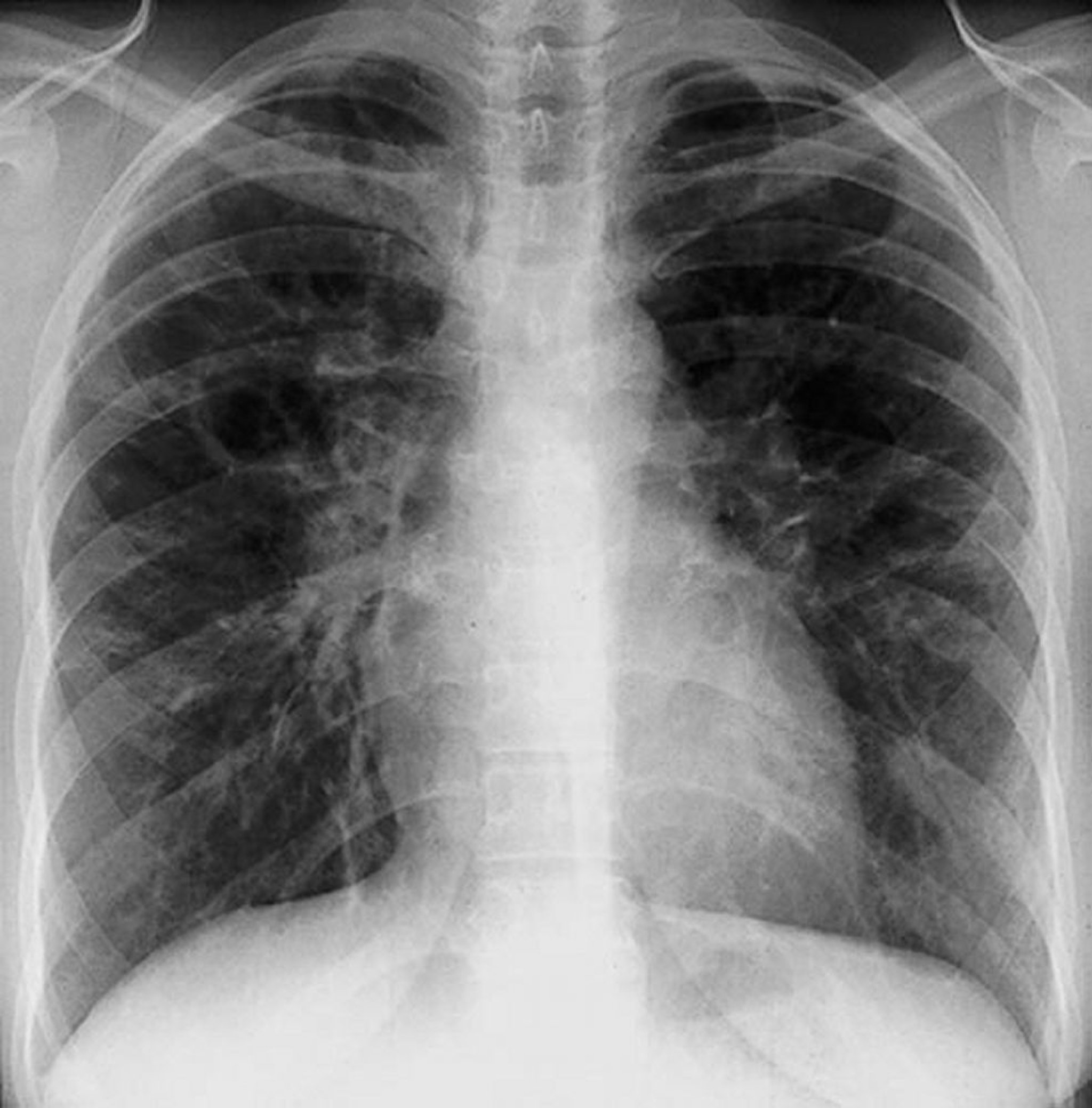
Саркоидоз — стадия III
Дифффузные интерстициальные помутнения без корневой лимфаденопатии при III стадии саркоидоза.
By permission of the publisher. Из Tanoue L, Elias J. In Bone's Atlas of Pulmonary and Critical Care Medicine. Edited by J Crapo. Philadelphia, Current Medicine, 2005.
По этим темам
