Растяжение Голеностопного Сустава С Нестабильностью
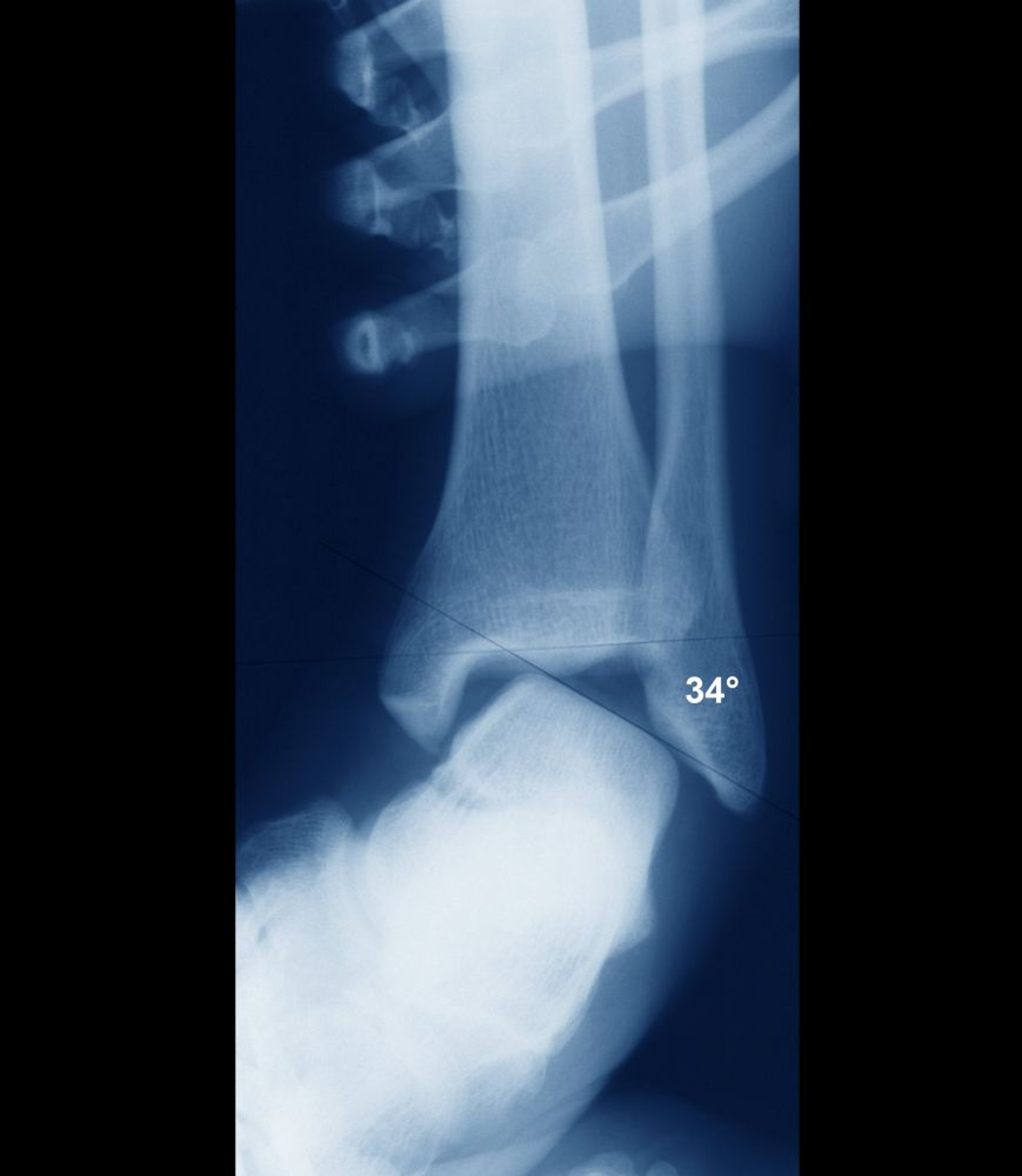
Если голеностоп стабилен, внутрисуставные поверхности таранной кости и голени должны быть параллельны. Здесь они широко расположены, что свидетельствует о серьезной нестабильности сустава. Нестабильность, как правило, оценивается клинически без необходимости рентгенограммы, как и должна была бы.
ZEPHYR/SCIENCE PHOTO LIBRARY
По этим темам
