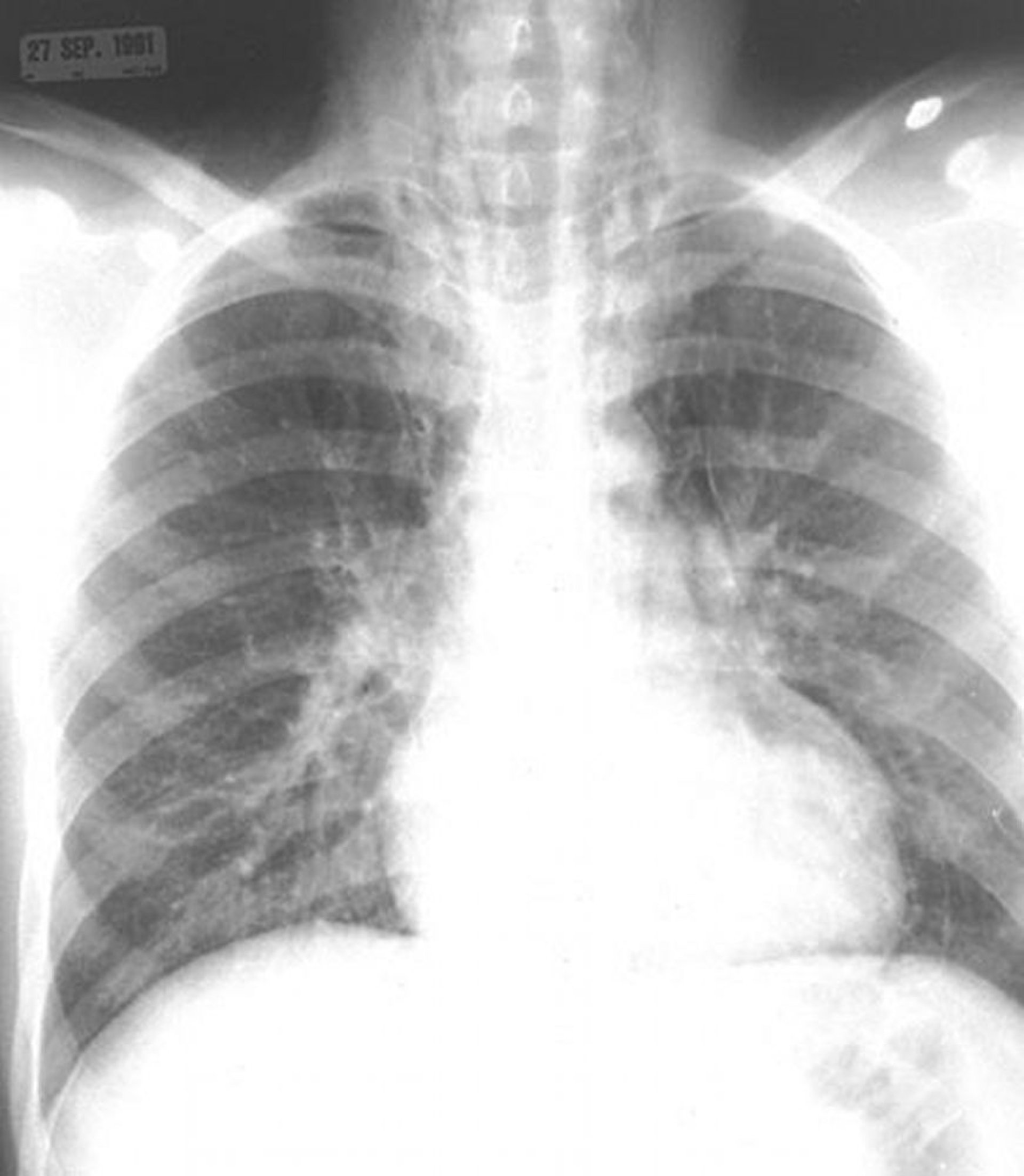
Пневмомедиастинум
Обращаем внимание на наличие воздуха в средостении и в мягких тканях шеи.
By permission of the publisher. From Berman L. In Atlas of Anesthesia: Critical Care. Edited by R Miller (series editor) and RR Kirby. Philadelphia, Current Medicine, 1997.
По этим темам
