Перелом средней трети бедренной кости (2)
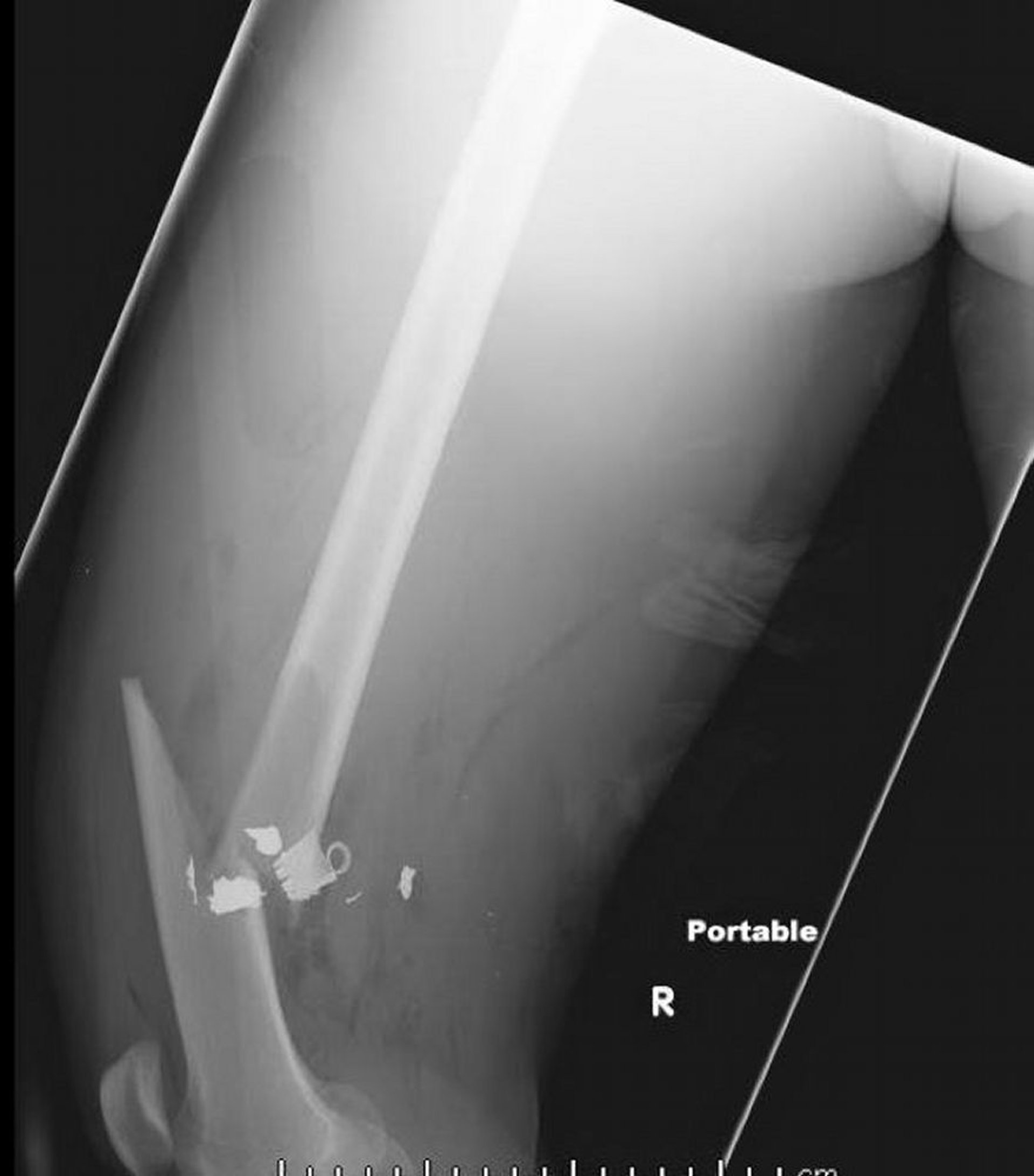
На данном рентгеновском снимке бедренной кости в боковой проекции изображен перелом средней трети бедренной кости с участками воздуха и зафиксированными инородными телами металлической плотности в мягких тканях.
Image courtesy of Danielle Campagne, MD.
По этим темам
