Острый средний отит
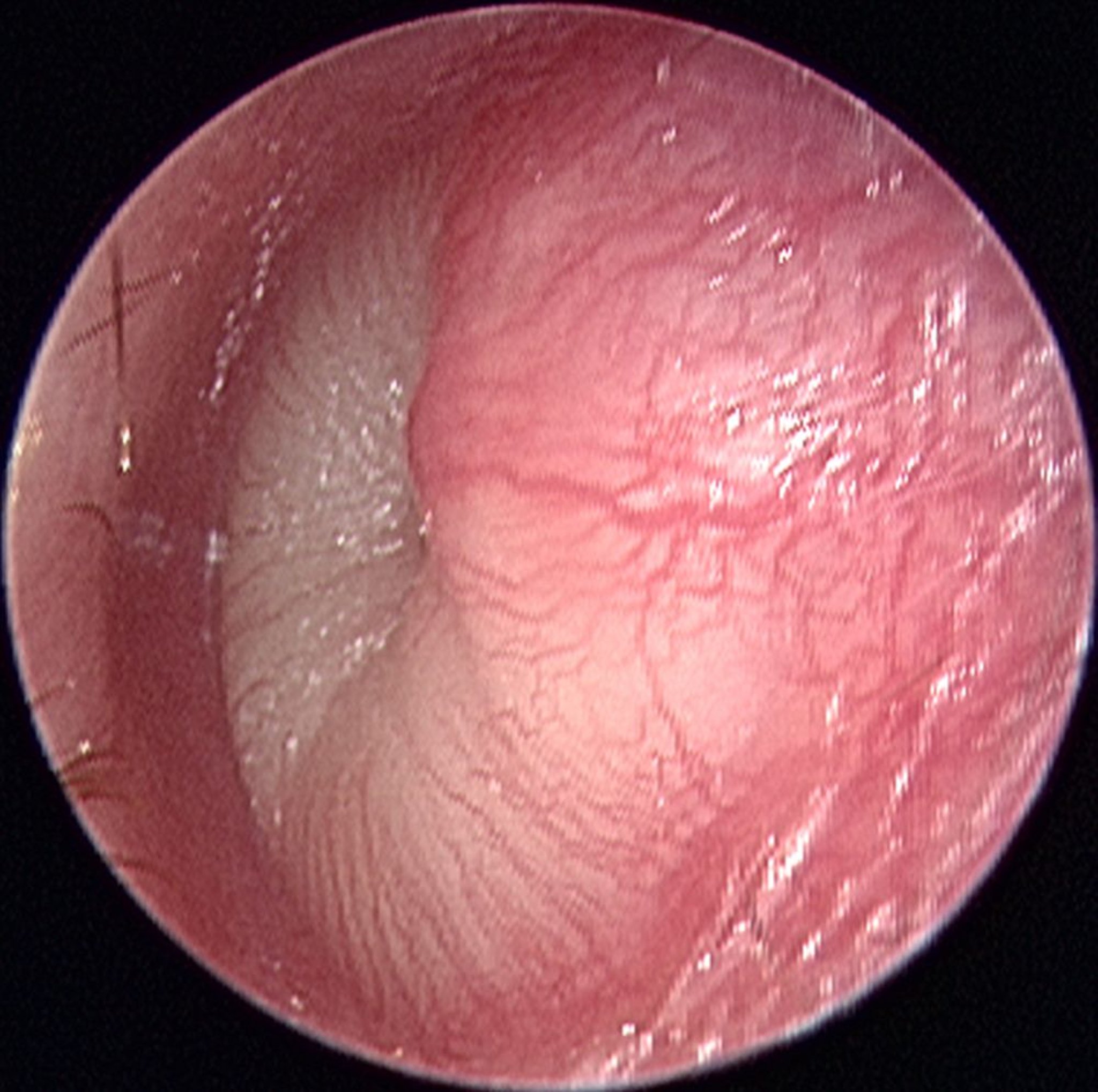
При остром отите среднего уха (внизу) левая барабанная перепонка выпячивается и становится эритематозной, признаки неясные, плохо различимы вследствие выпячивания барабанной перепонки.
© Springer Science+Business Media
По этим темам
