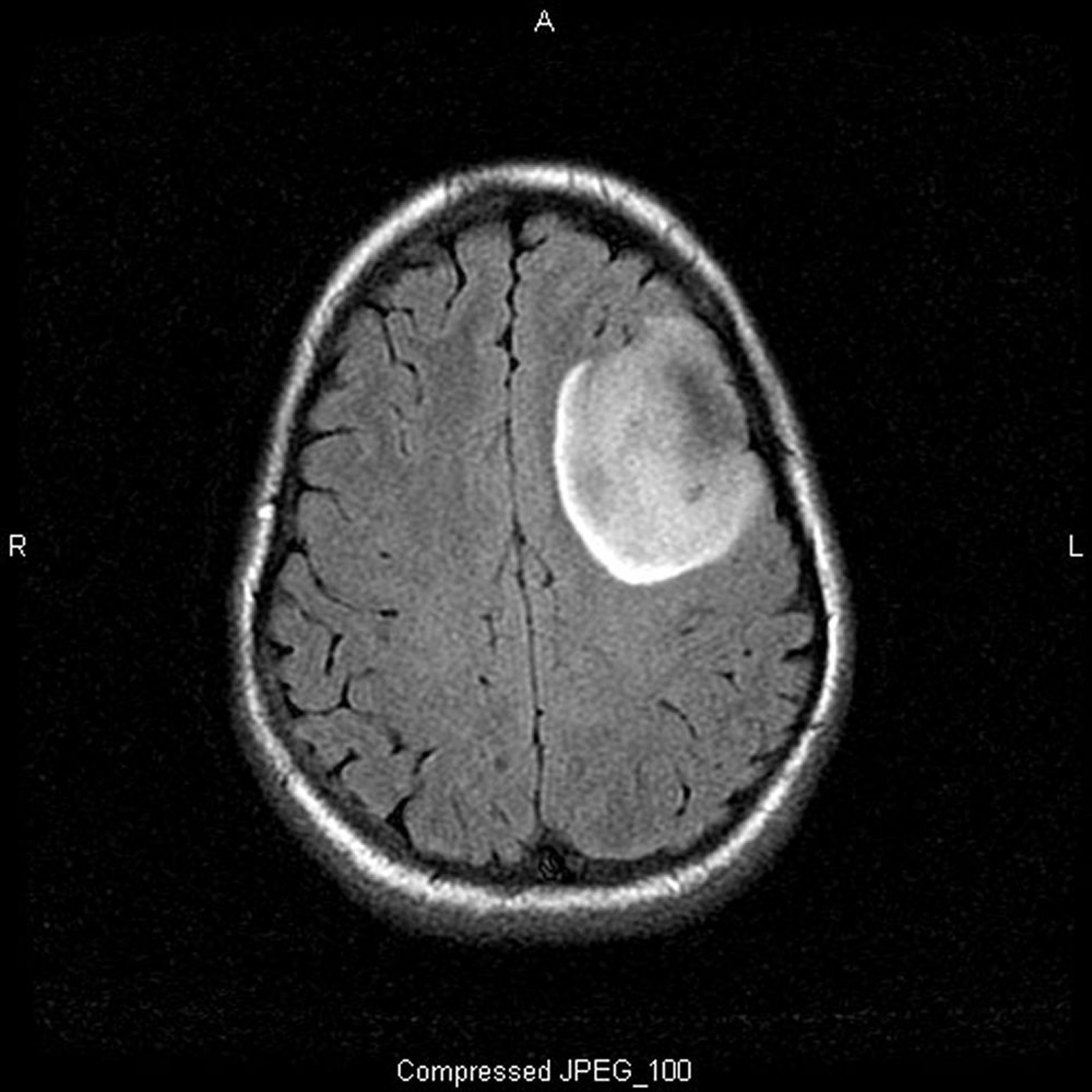
Олигодендроглиома, низкодифференцированная
Т2-FLAIR (восстановление с инверсией затухания жидкости) взвешенное МРТ-сканирование показывает наличие сигнала белого поля, который может свидетельствовать про развитие опухолевого образования или отека. Левый фронтальный сигнал сильно ограничен, что указывает на опухолевое образование. Использование контраста не усиливает его. Низкозлокачественная олигодендроглиома II степени.
Image courtesy of William R. Shapiro, MD.
По этим темам
