Микроаденома гипофиза
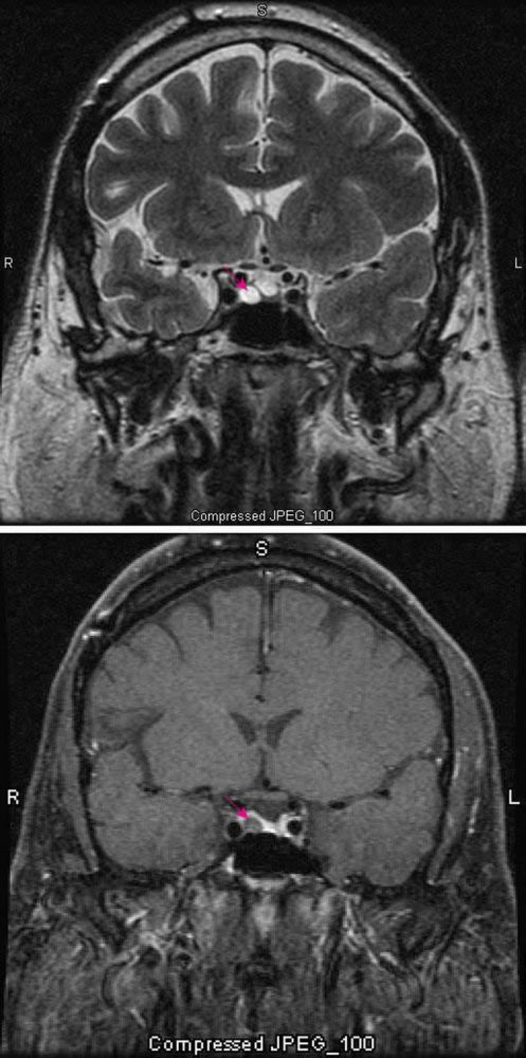
На T2-взвешенном изображении МРТ (вверху) показана микроаденома гипофиза (красная стрелка). Использование контрастирования (внизу) обычно выделяет контуры гипофиза (красная стрелка). Аденома выглядит более светлой.
Images courtesy of William R. Shapiro, MD.
По этим темам
