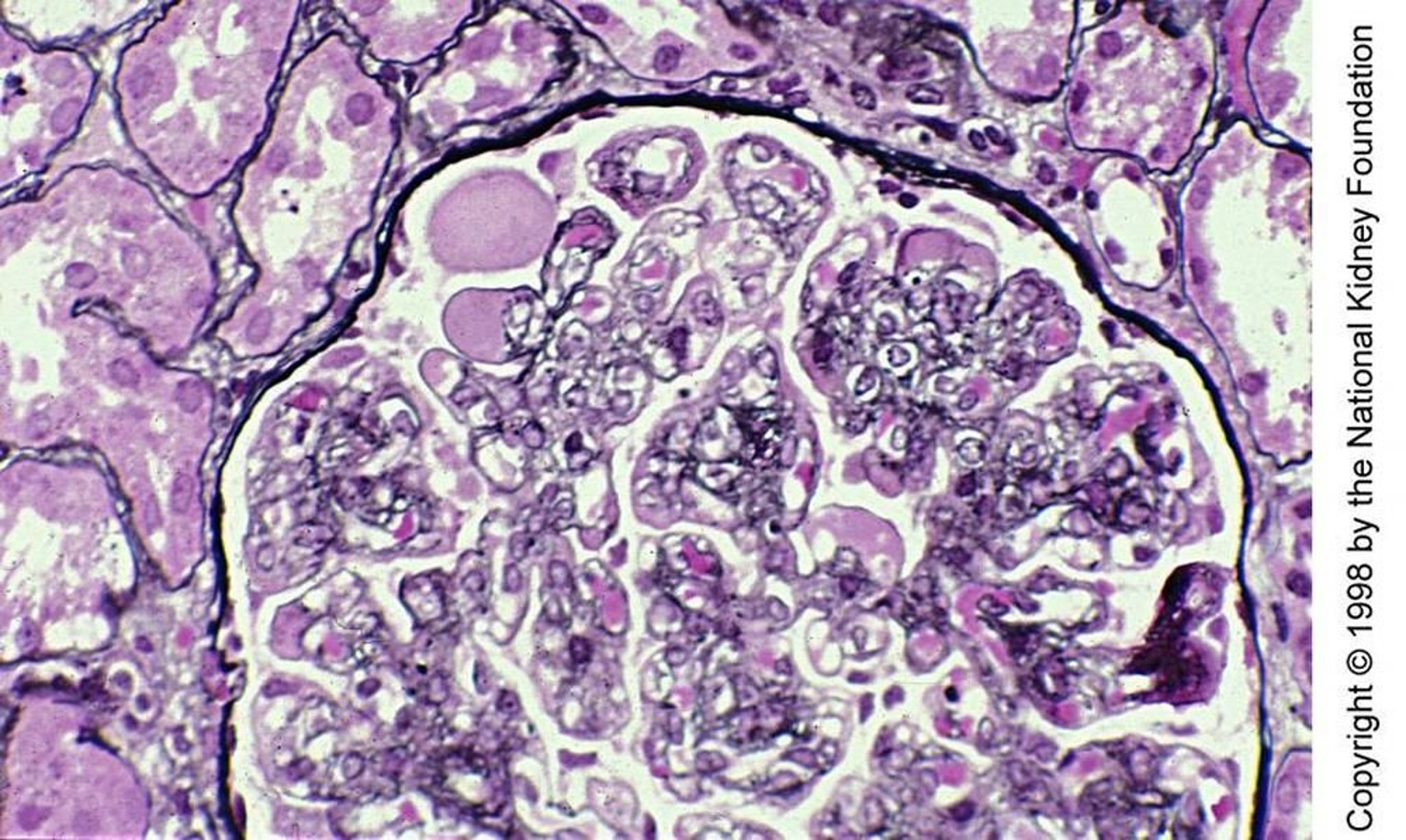
Мембранопролиферативный гломерулонефрит, опосредованный иммуноглобулин/иммунными комплексами
При мембранопролиферативном гломерулонефрите, опосредованном иммуноглобулинами/иммунными комплексами, хроническое отложение иммунных комплексов (преимущественно С3 и IgG или IgM) активирует комплемент через классический путь в стенках гломерулярных капилляров и мезангии. В результате этого происходит мезангиальная пролиферация, уплотнение клубочковой базальной мембраны (ГБМ), интерпозиция цитоплазмы мезангиальных клеток между ГБМ и эндотелиальными клетками, а также гломерулосклероз, приводящий к почечной недостаточности. Уплотнение ГБМ проявляется здесь двойными контурами (серебряное пятно Джонса, ×400).
Image provided by Agnes Fogo, MD, and the American Journal of Kidney Diseases' Atlas of Renal Pathology (see www.ajkd.org).
По этим темам
