Мезентериальная ишемия (КТ-ангиография)
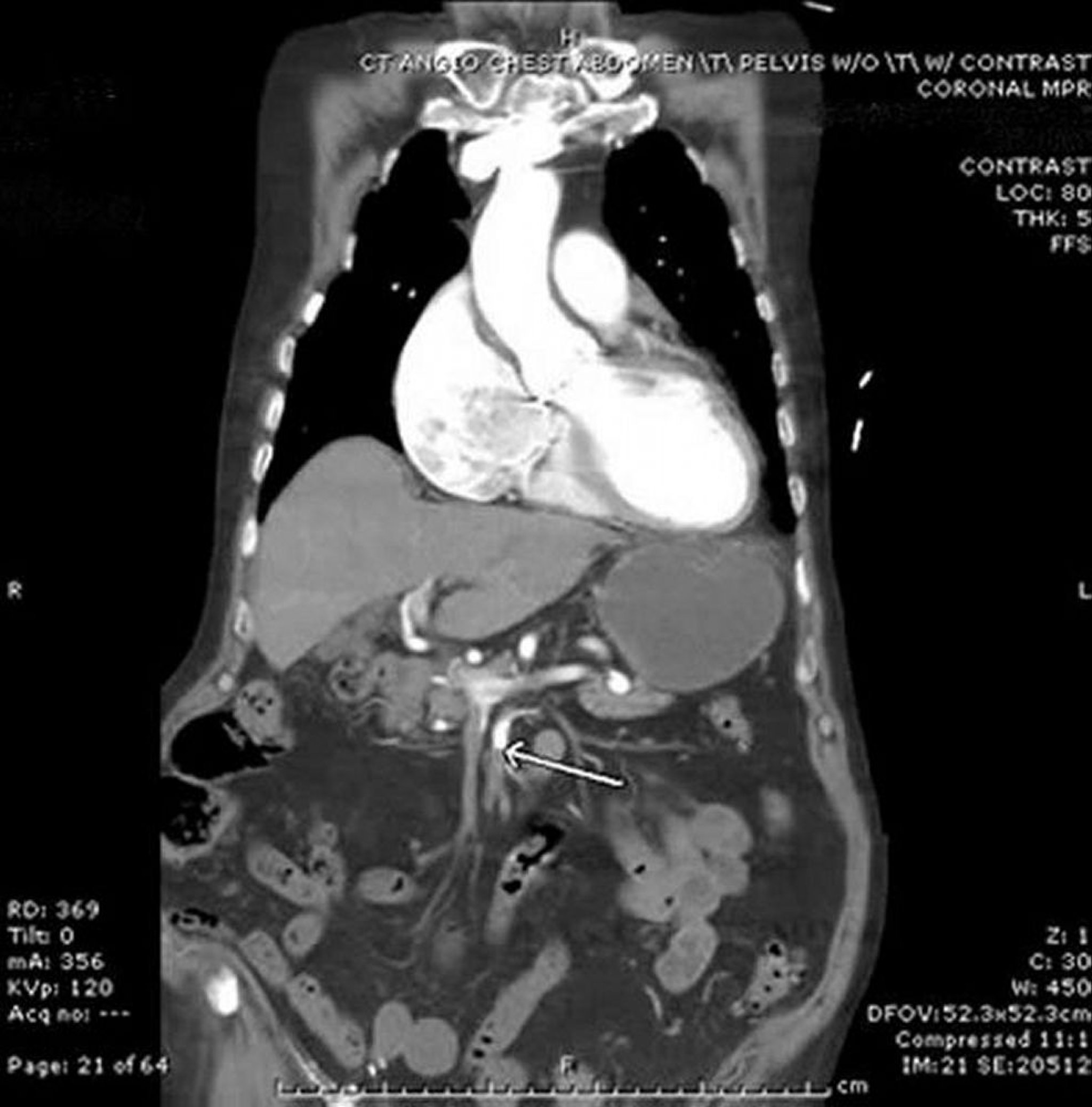
На этом изображении стрелка указывает на верхнюю брыжеечную артерию с резкой границей введенного внутривенно контраста. Наблюдается некоторое утолщение тонкой кишки в левой части брюшной полости. Данный случай эмболии представляет собой нарушение со стороны сердца у пациента с мерцательной аритмией.
Image provided by Parswa Ansari, MD.
По этим темам
