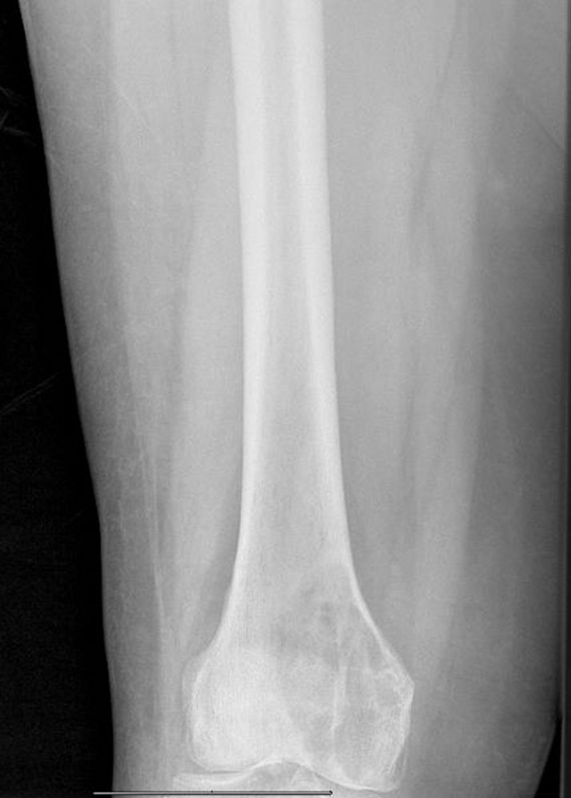
Литические метастазы в дистальной части бедренной кости
На этой рентгенограмме видно большое метастатическое литическое поражение медиального мыщелка бедренной кости с угрозой патологического перелома.
Image courtesy of Michael J. Joyce, MD, and David M. Joyce, MD.
По этим темам
