Лимфоцитарная интерстициальная пневмония
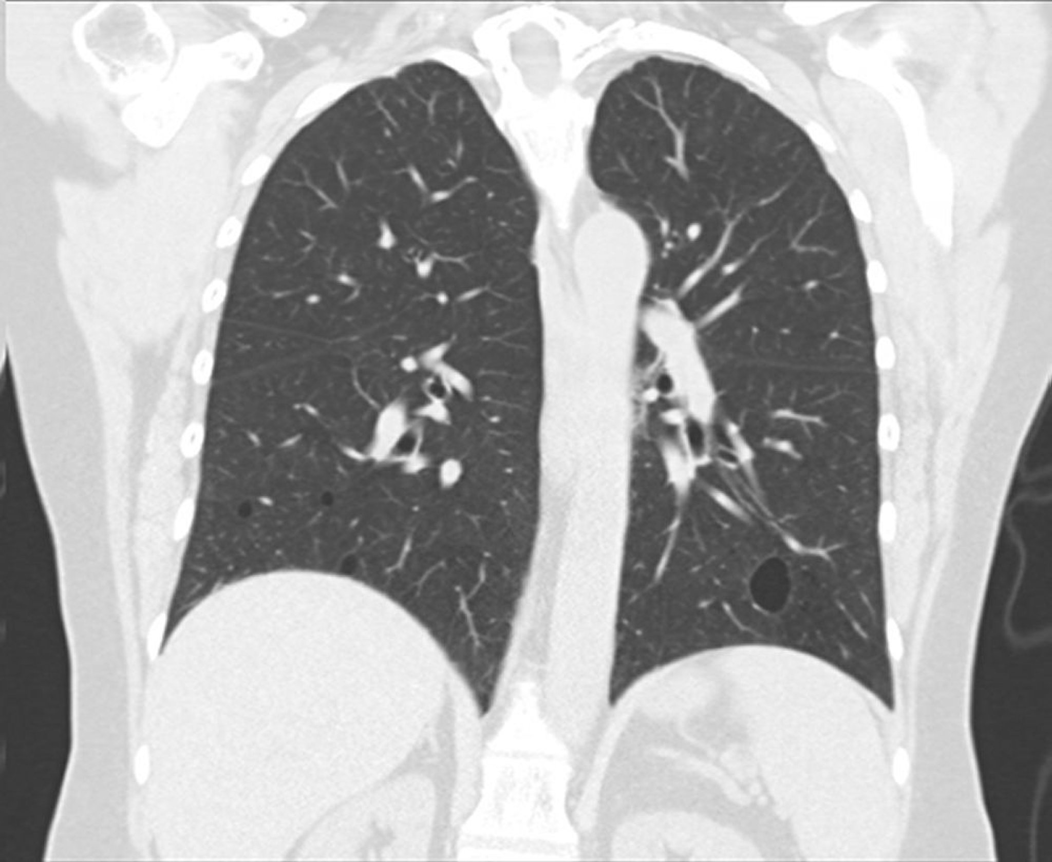
На этом рисунке изображена вторичная лимфоцитарная интерстициальная пневмония вследствие синдрома Шегрена. На данном срезе коронарных артерий, полученных при КТ, можно увидеть хорошо очерченные кисты в нижних долях с обеих сторон.
This image courtesy of Tami Bang, MD.
По этим темам
