Лангергансоклеточный гистиоцитоз (КТ головы)
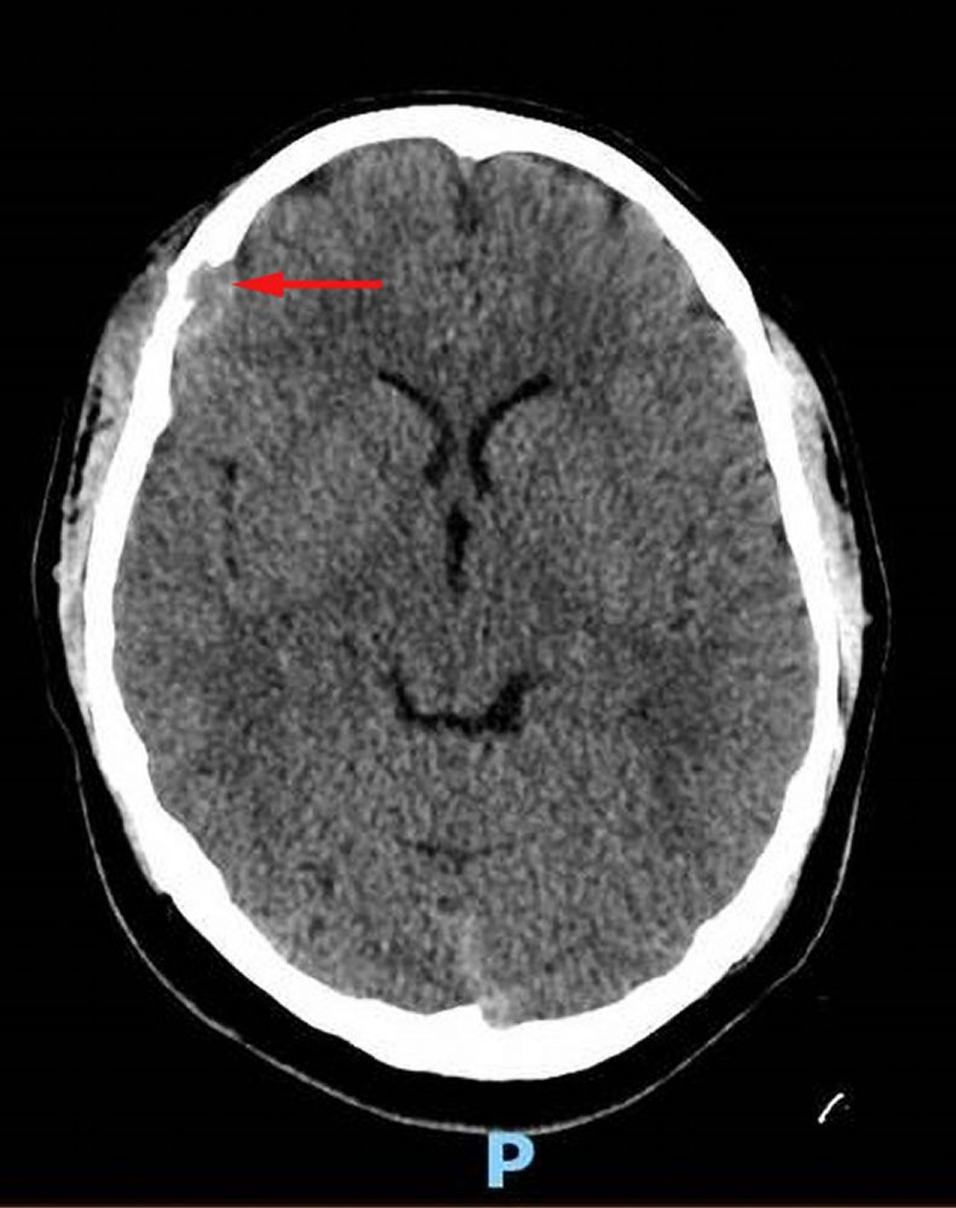
На этом снимке показано поражение мягких тканей в правой лобной кости с сопутствующим разрушением костной ткани и внутричерепным распространением мягких тканей в дуральное пространство (красная стрелка). Имеется асимметричное расположение мягких тканей кожи головы. Биопсия была диагностической для клеточного гистиоцитоза Лангерганса.
Image courtesy of Carolyn Fein Levy, MD, and Jeffrey M. Lipton, MD, PhD.
По этим темам
