Железодефицитная aнемия
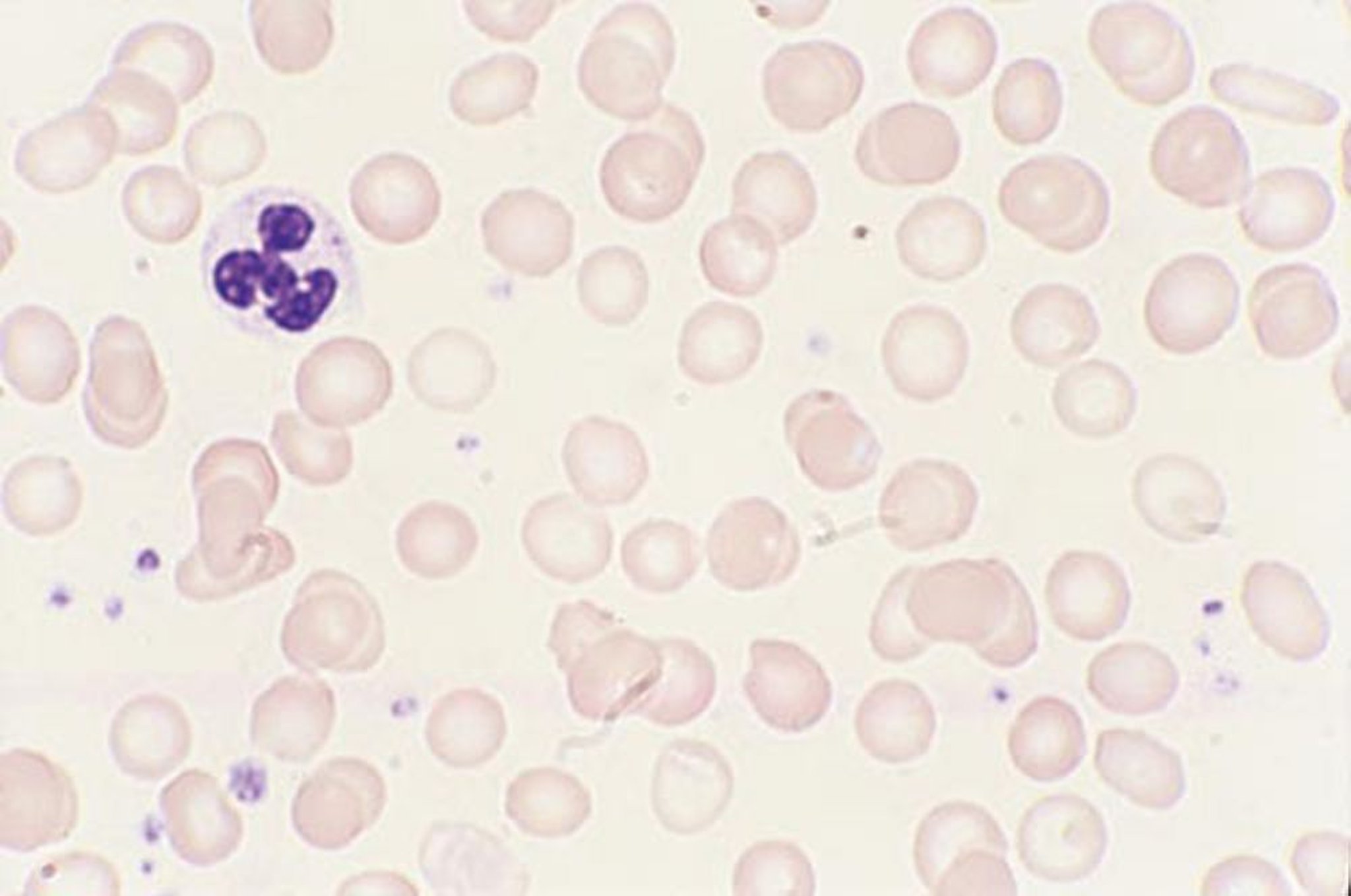
При железодефицитной анемии мазок периферической крови обычно показывает анизоцитоз и пойкилоцитоз. В тяжелых случаях характерно наличие сигарообразных эритроцитов и эллиптоцитов. И наоборот, полихромазия (что равнозначно ретикулоцитозу при окрашивании по Райту-Гимзе) и базофильная зернистость явно отсутствуют.
By permission of the publisher. From Tefferi A, Li C. In Atlas of Clinical Hematology. Edited by JO Armitage. Philadelphia, Current Medicine, 2004.
По этим темам
