Болезнь Кинбека (косая проекция рентгенографии)
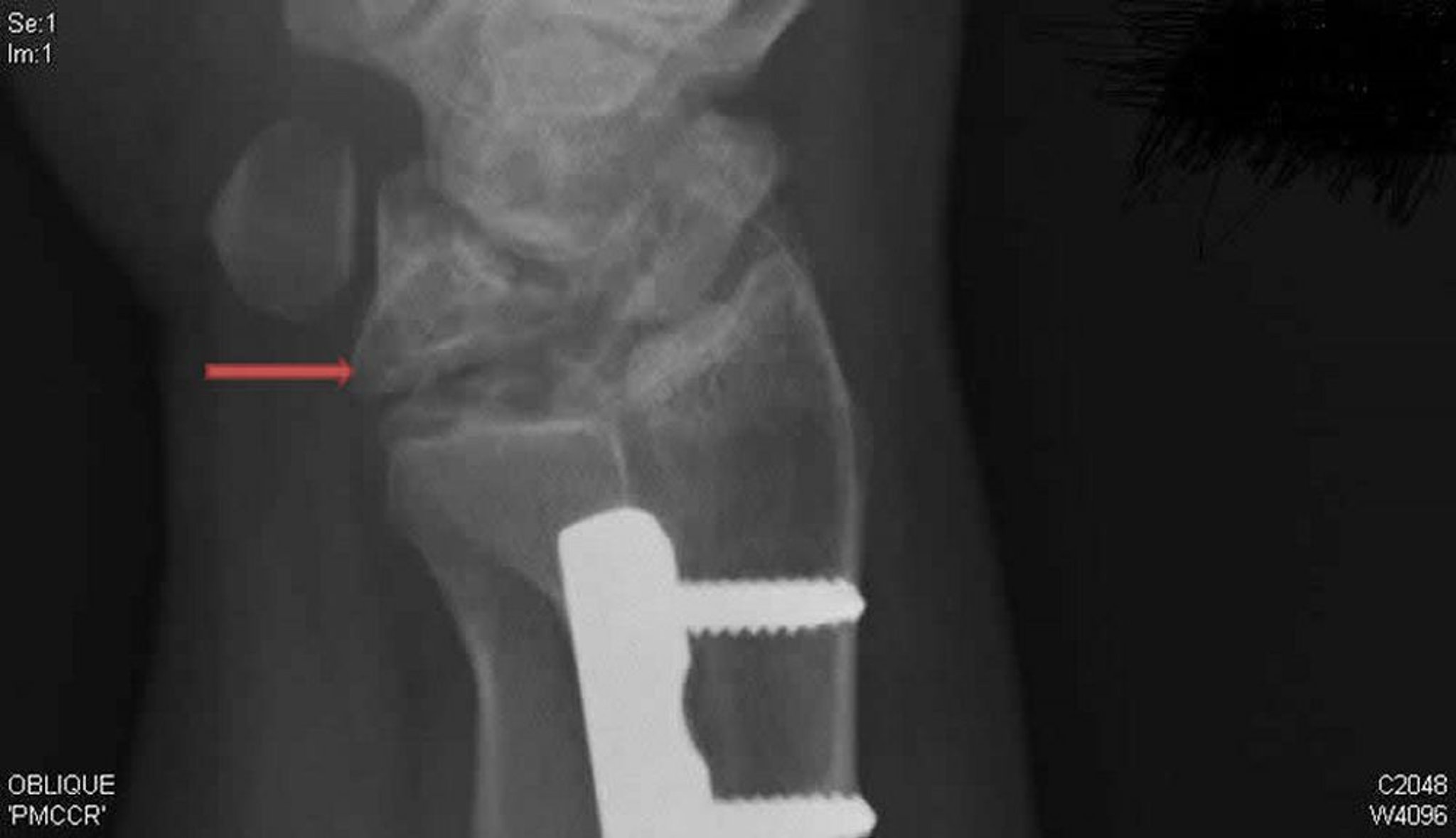
Данная косая проекция при рентгенографии правого запястья указывает на болезнь Кинбека. Обратите внимание на коллапс и фрагментацию полулунной кости (стрелка), которые не были заметны при рентгенографии в задне-передней проекции.
Рентгенограмма предоставлена Давидом Р. (David R.). Steinberg, MD.
По этим темам
