Хроническая обструктивная болезнь легких (рентгенография органов грудной клетки)
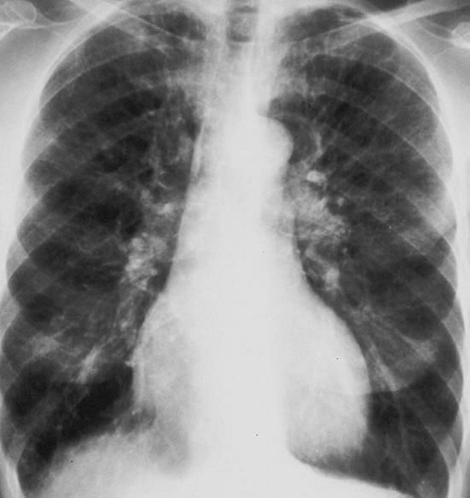
Рентгенография органов грудной клетки пациента с хронической обструктивной болезнью легких (ХОБЛ). Присутствует легочная гиперинфляция, диафрагма уплощена, сосудистый рисунок увеличен, а размер сердца незначительно увеличен.
By permission of the publisher. From Barnes P. In Bone's Atlas of Pulmonary and Critical Care Medicine. Edited by J Crapo. Philadelphia, Current Medicine, 2005.
По этим темам
