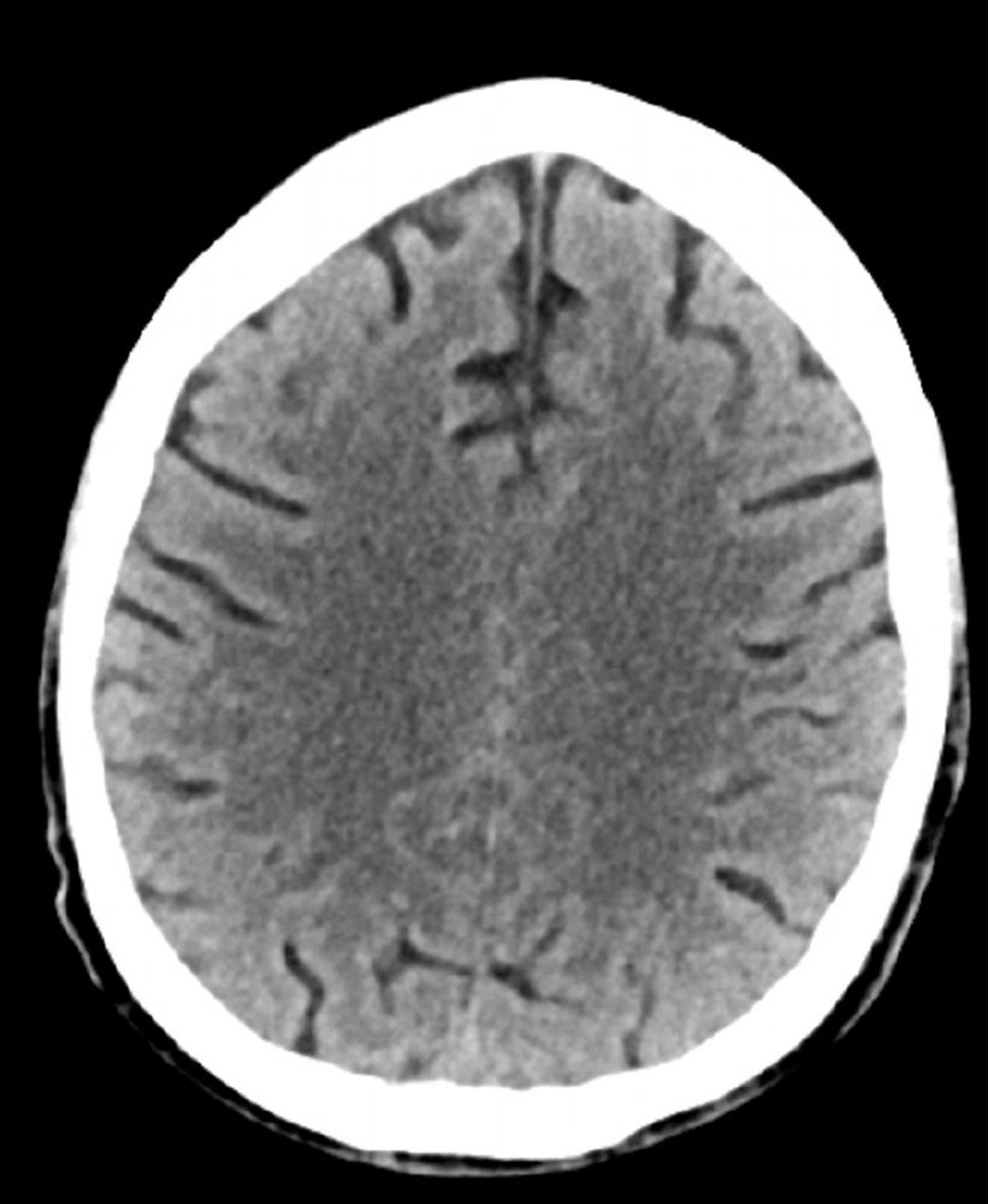
Стандартное КТ-сканирование головы (взрослые, возраст 74 года) – слайд 2
Это изображение –обычная компьютерная томография головы взрослого человека в возрасте 74 лет. По сравнению с нормальными результатами компьютерной томографии головы пациента 30-летнего возраста, мозговые борозды увеличены. Эти показатели являются нормальными для данной возрастной группы.
© 2017 Elliot K. Fishman, MD.
