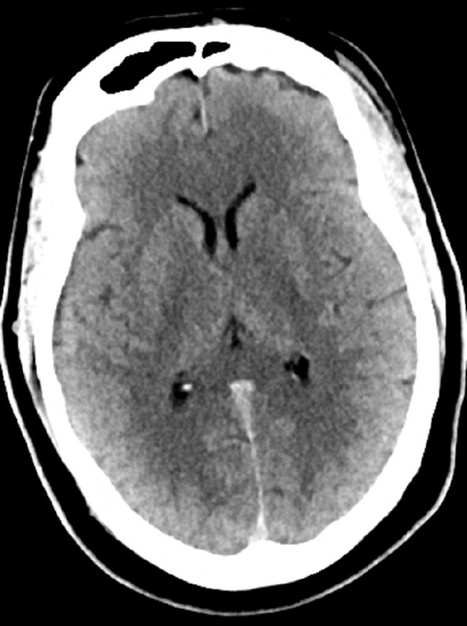
Стандартное КТ-сканирование головы (взрослые, возраст 30 лет) – слайд 5
Это изображение – обычный КТ-снимок головы взрослого человека в возрасте 30 лет. Ни внутри паренхимы мозга, ни вне ее не наблюдается накопления жидкости или кровоизлияния. Дифференцировка серого и белого вещества сохраняется. Размер желудочков и характеристики борозд в норме.
© 2017 Elliot K. Fishman, MD.
