honeypot link
skip to main content
MSDСправочник MsdПрофессиональная версия
РАЗДЕЛЫ МЕДИЦИНЫИСТОЧНИКИКОММЕНТАРИИОПРОСЫО НАС
homeРАЗДЕЛЫ МЕДИЦИНЫ
Search icon
  1. <Изображения
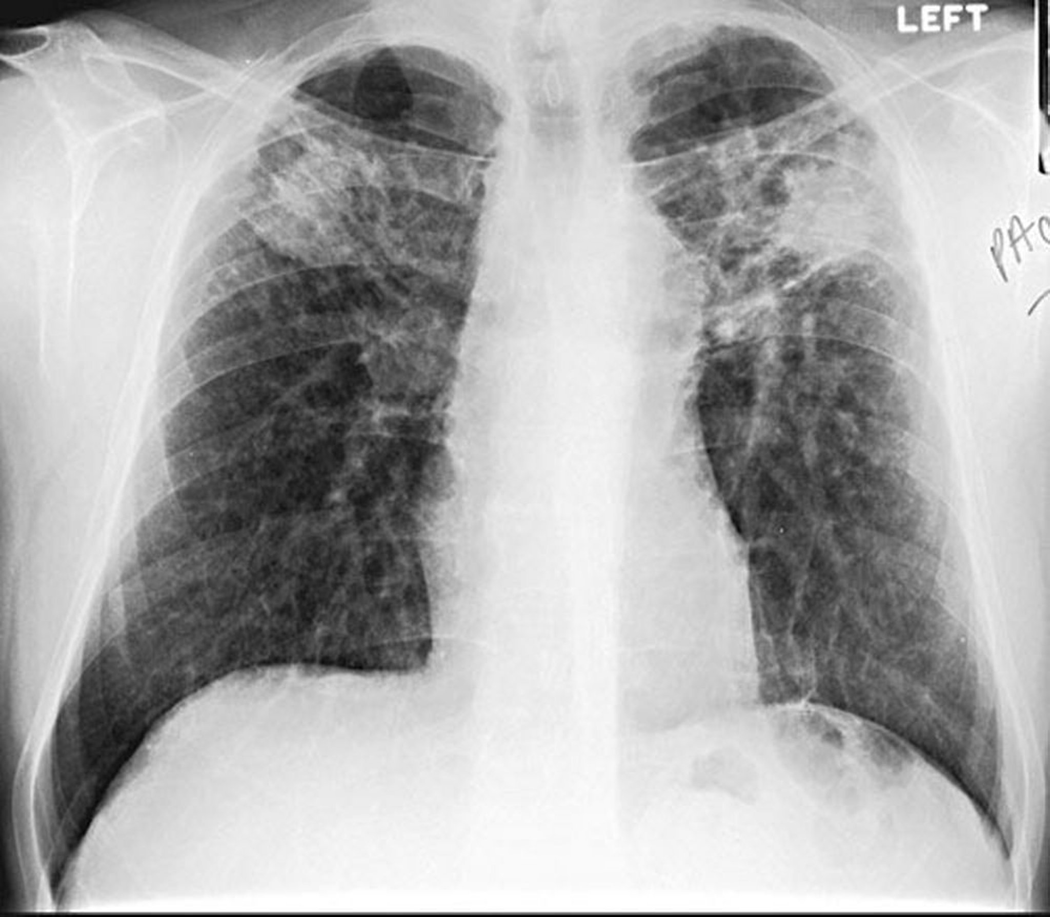
    Силикоз-конгломерат

    Силикоз-конгломерат

    Image courtesy of David W. Cugell, MD.

    По этим темам
    • Силикоз >
    MSD
    • О нас
    • Юридическая оговорка
    • Разрешение
    • Конфиденциальность
    • Cookie Preferences
    • Условия использования
    • Лицензирование
    • Обратитесь к нам
    • Справочник по ветеринарии (только на английском языке)
    This icon serves as a link to download the eSSENTIAL Accessibility assistive technology app for individuals with physical disabilities. It is featured as part of our commitment to diversity and inclusion.
    This icon serves as a link to download the eSSENTIAL Accessibility assistive technology app for individuals with physical disabilities. It is featured as part of our commitment to diversity and inclusion.
    MSD

    Авторское право© 2026Merck & Co., Inc., Rahway, NJ, США и ее аффилированные лица. Все права сохранены.