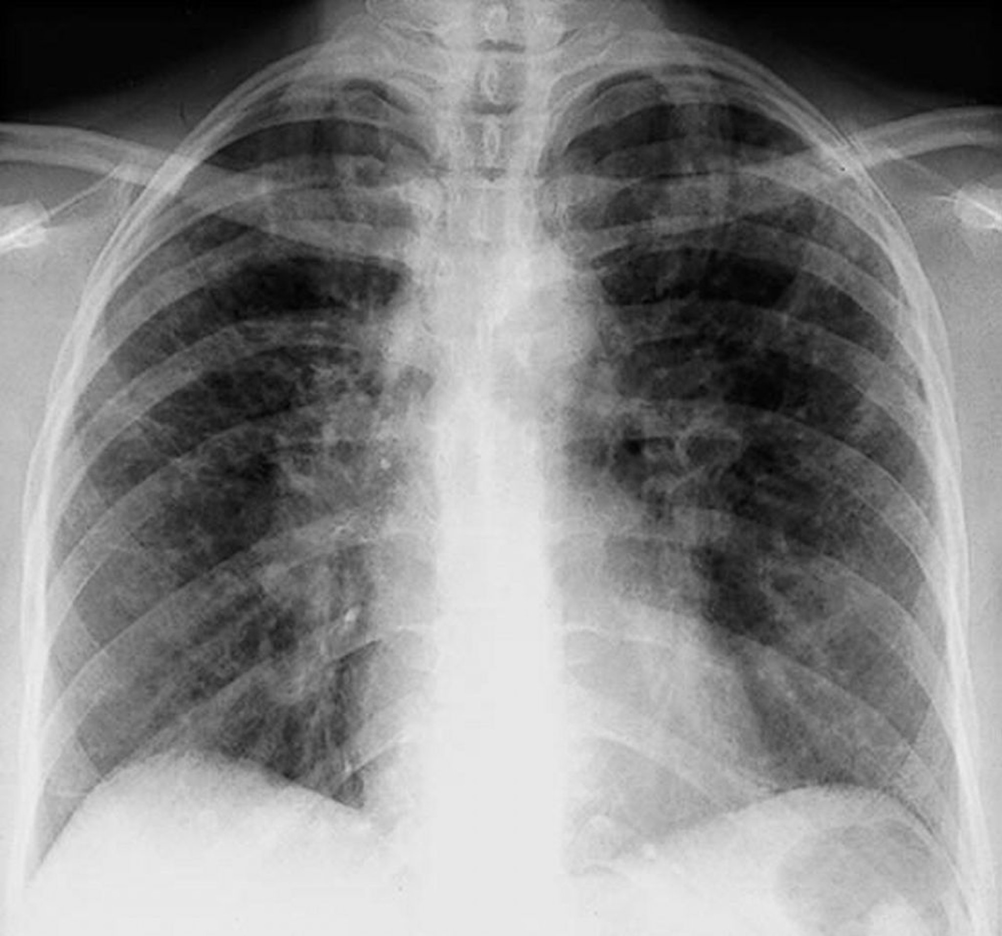
Саркоидоз — стадия II
Двусторонняя корневая лимфаденопатия с интерстициальными помутнениями при II стадии саркоидоза.
By permission of the publisher. Из Tanoue L, Elias J. In Bone's Atlas of Pulmonary and Critical Care Medicine. Edited by J Crapo. Philadelphia, Current Medicine, 2005.
По этим темам
