Саркоидоз (патологическая гистология)
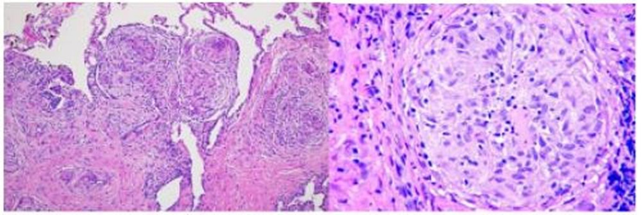
На данном снимке в биоптате легкого пациента с саркоидозом видны гранулемы вдоль бронховаскулярного пучка (окраска гематоксилином и эозином, малое увеличение; слева) и саркоидная гранулема с многоядерными гигантскими клетками в центре гранулем (большое увеличение; справа).
Image courtesy of Birendra P. Sah, MD, FCCP.
По этим темам
