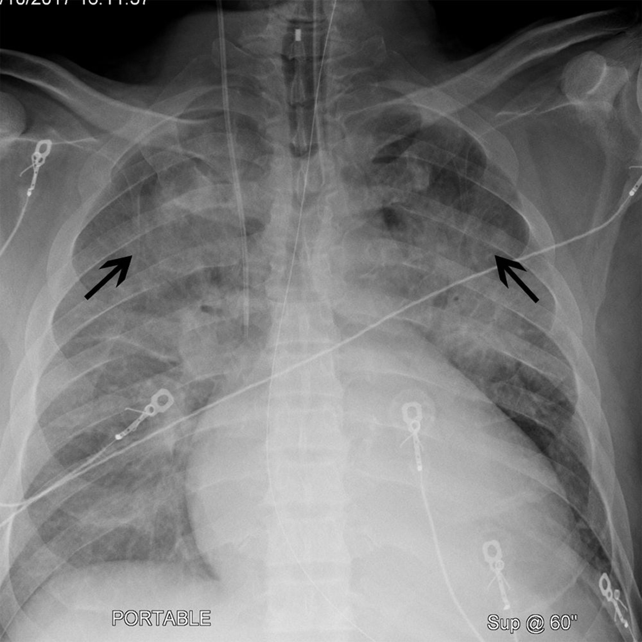
Рентгенограмма грудной клетки пациента с кардиомегалией и цефализацией
Этот пациент имеет кардиомегалию (ширина силуэта сердца составляет > 50% грудной клетки на передне-задней рентгенограмме грудной клетки). У пациента также имеется цефализация (черные стрелки), в результате чего легочные сосуды верхней доли становятся более заметными. Эти особенности часто наблюдаются у пациентов с сердечной недостаточностью.
© 2017 Elliot K. Fishman, MD.
По этим темам
