Рентгеновский снимок центрального венозного катетера
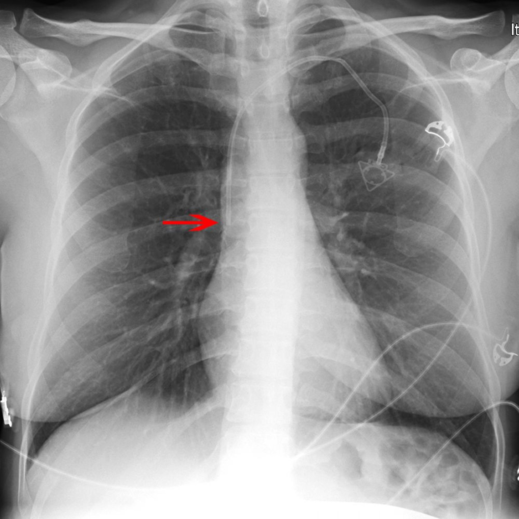
Красная стрелка указывает на кончик левого подключичного катетера (размещен соответствующим образом в нижней части верхней полой вены).
© 2017 Elliot K. Fishman, MD.
Красная стрелка указывает на кончик левого подключичного катетера (размещен соответствующим образом в нижней части верхней полой вены).
© 2017 Elliot K. Fishman, MD.