Растяжения связок акромиально-ключичного сустава
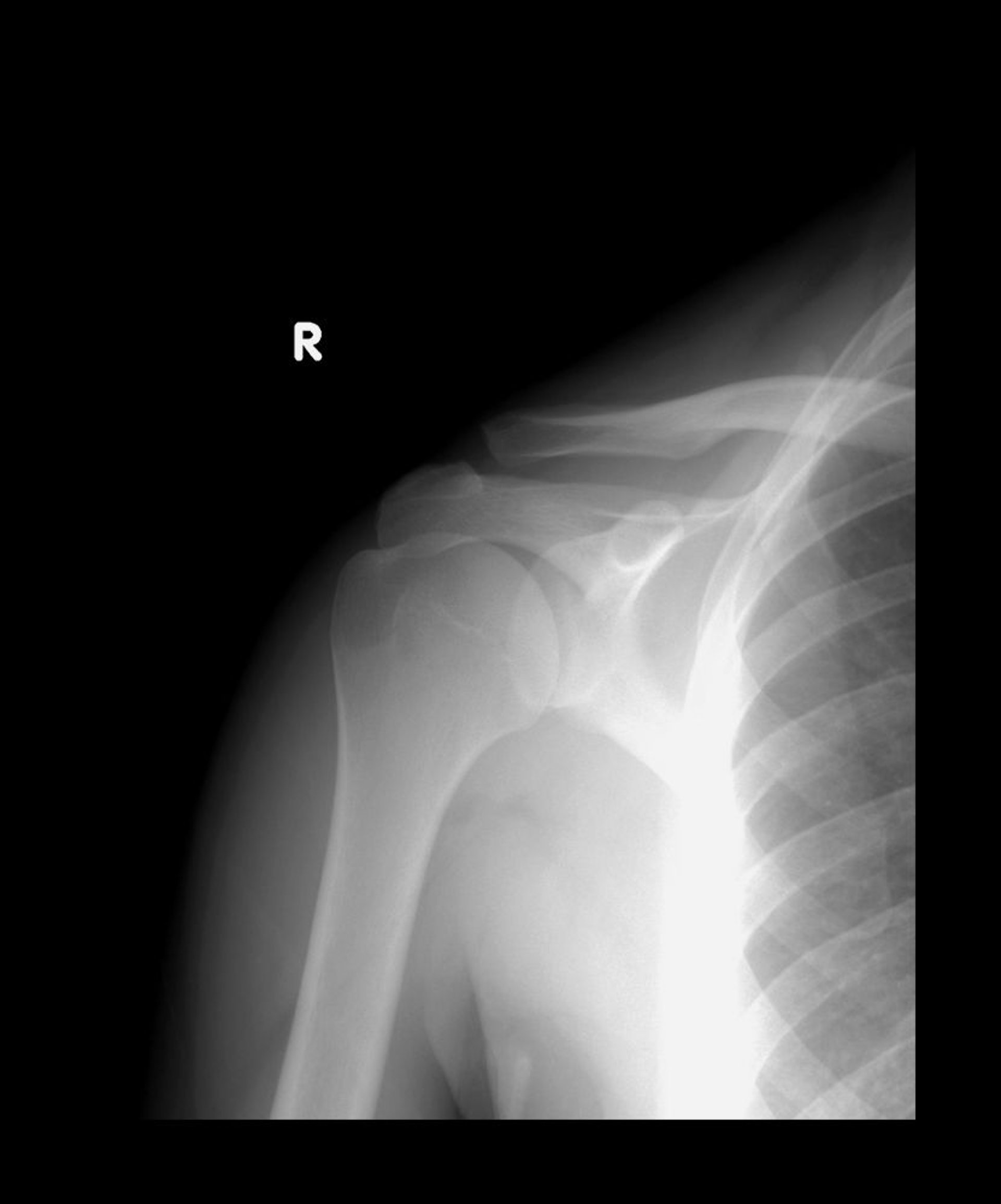
Как правило, нижние концы акромиального и ключичного сустава совмещены. На этом рентген-снимке, ключица смещена вверх, но 2 кости все еще перекрывают друг друга, что позволяет предположить подвывих II-го типа.
LIVING ART ENTERPRISES, LLC/SCIENCE PHOTO LIBRARY
По этим темам
