Поражение шейного отдела позвоночника при ревматоидном артрите
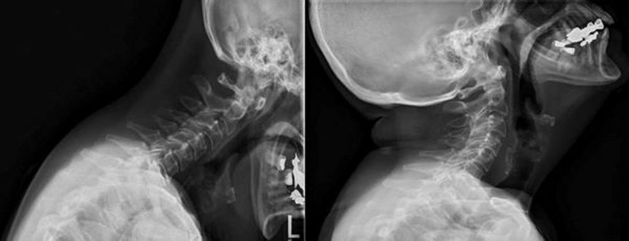
На данных рентгенограммах при сгибании и разгибании шейного отдела позвоночника показано увеличение атланто-аксиального расстояния, доходящее до 5 мм в проекции сгибания, которое уменьшается с разгибанием.
Image courtesy of Kinanah Yaseen, MD.
По этим темам
