Плоскоклеточный рак пищевода
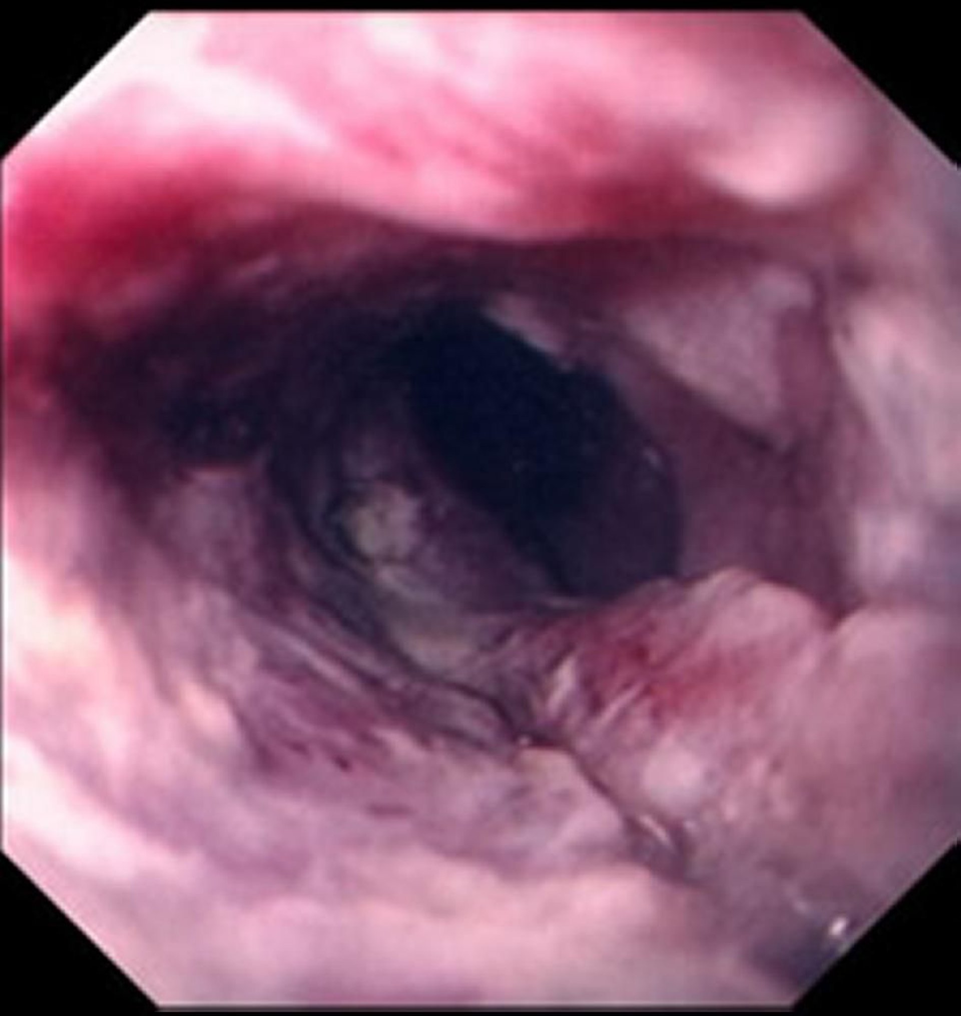
Плоскоклеточный рак, как правило, проявляется в виде изъязвленного, рваного образования, перекрывающего просвет пищевода.
Images provided by David M. Martin, MD.
По этим темам
Плоскоклеточный рак, как правило, проявляется в виде изъязвленного, рваного образования, перекрывающего просвет пищевода.
Images provided by David M. Martin, MD.