Плоскоклеточная карцинома (поражения десен)
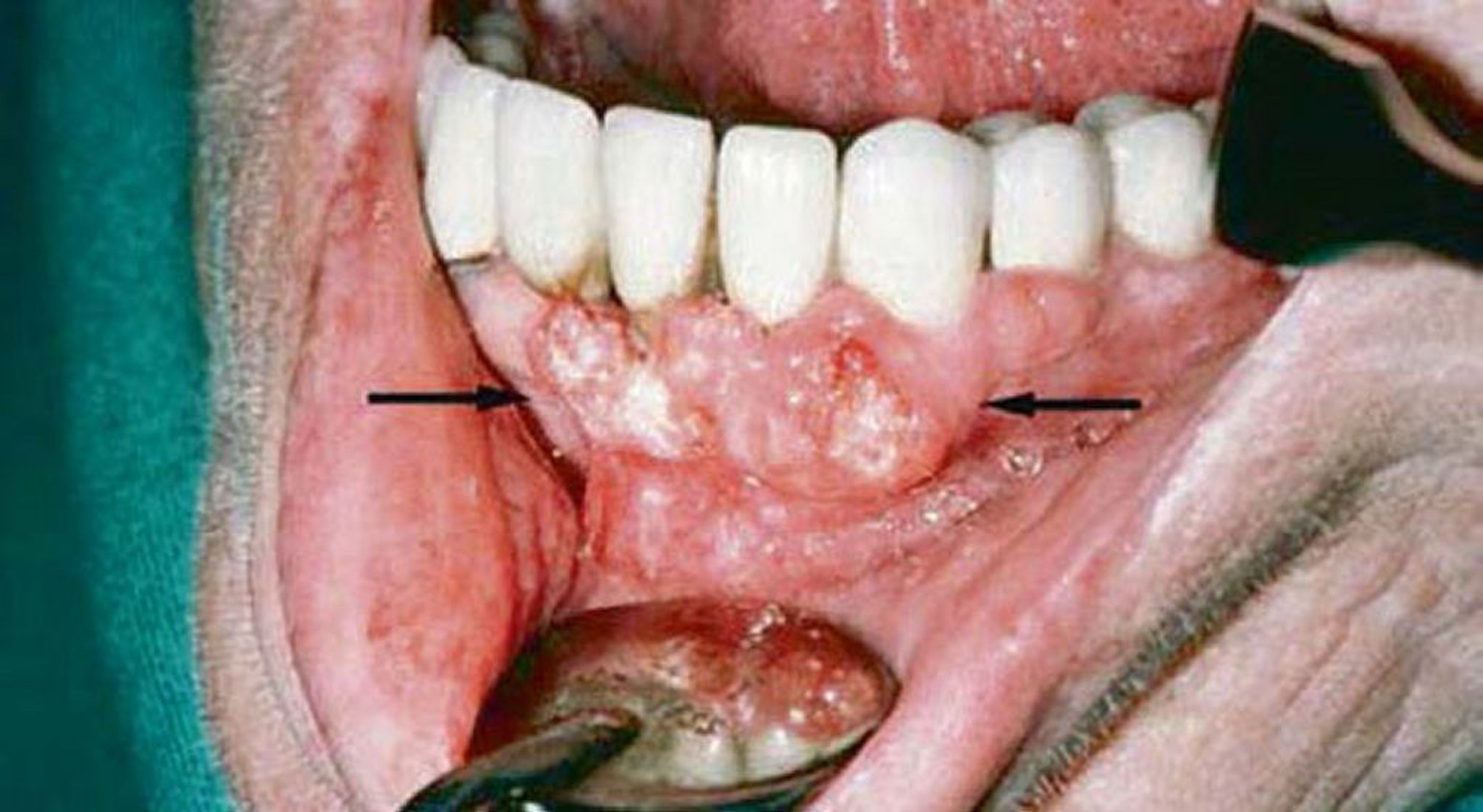
В ходе исследования десны этого пациента была выявлена плоскоклеточная карцинома. Визуализирующие исследования показали прорастание в нижнюю челюсть.
© Springer Science+Business Media
По этим темам
В ходе исследования десны этого пациента была выявлена плоскоклеточная карцинома. Визуализирующие исследования показали прорастание в нижнюю челюсть.
© Springer Science+Business Media