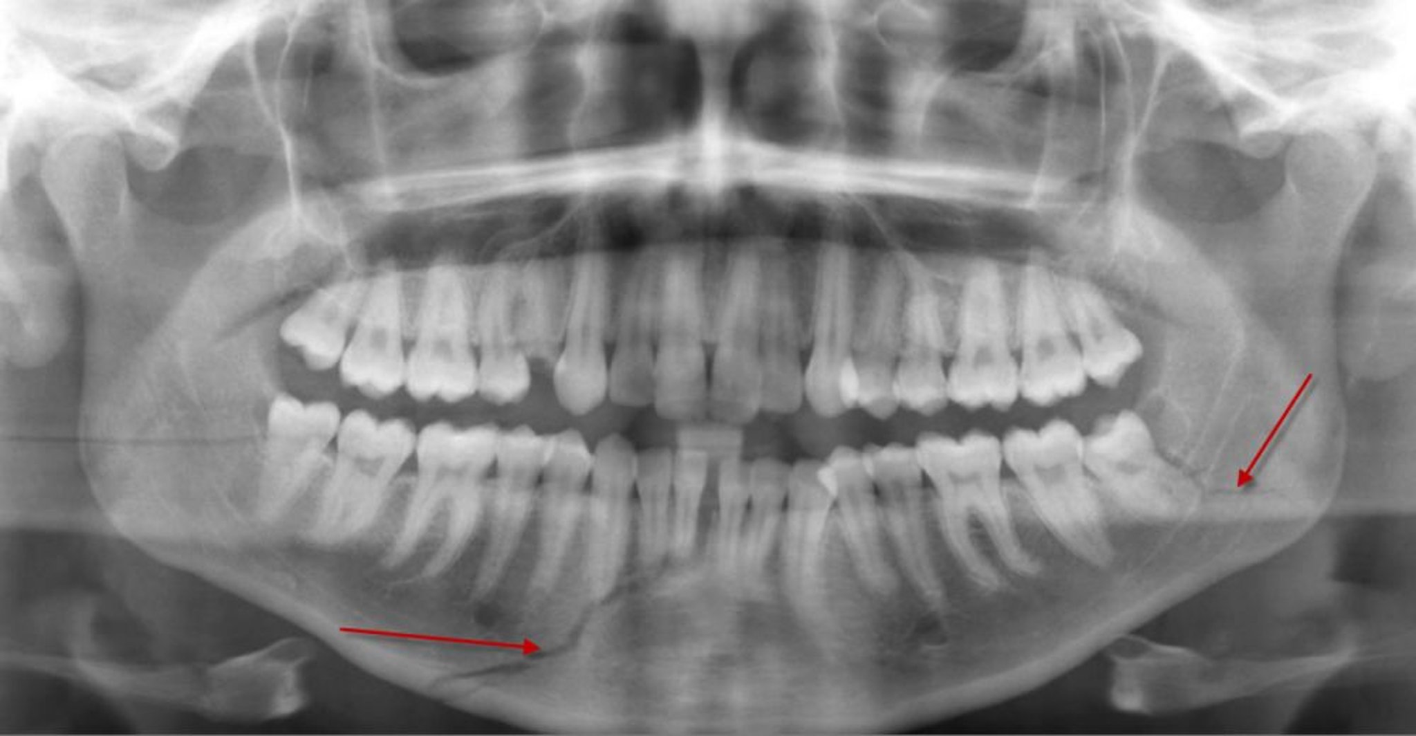
Перелом тела нижней челюсти
Эта панорамная рентгенограмма показывает просветление (стрелка внизу) в теле нижней челюсти, представляющее собой перелом, который достигает корней некоторых передних нижних зубов. Также имеется перелом левого мандибулярного угла (стрелка).
DU CANE MEDICAL IMAGING LTD/SCIENCE PHOTO LIBRARY
По этим темам
